製品
Optimal Aspect Ratio(OAR)テクノロジーにより実現した
デンチンリプレイス材料
Optimal Aspect Ratio(OAR)テクノロジーを駆使したショートファイバー配合による高い破壊靭性によりクラック伝播抑制作用を発揮することで、歯質や材料自体の破折リスクの低減が期待できます。
アスペクト比(ファイバーの直径と長さの比率)の最適化により、高い破壊靭性と良好な操作性を両立するテクノロジー
SEM画像提供:Lippo Lassila先生(University of Turku、Finland)
深い窩洞や積層回数を減らして素早く充填したい場合に適した、バルク充填可能なシェード
審美性が求められる症例やセラミックス修復時のコアビルドアップに適した歯冠色シェード
※LED 歯科重合用光照射器(700mW/cm²以上)での照射時間

シリンジから押し出したペーストは垂れずに形状を維持できるので、盛り上げにも適したペースト性状になっています。

ペーストにチップの先で振動を与えると流動性が上がり、窩壁に馴染みます。
特長
症例
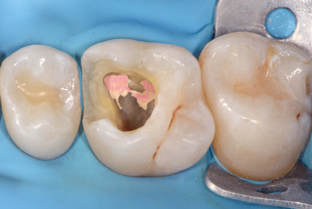
症例1
エバーエックスフローをベースとしたコンポジットレジン充填修復
写真提供:J.Tapia Guadix先生(スペイン)
写真提供:J.Tapia Guadix先生(スペイン)
根管治療後の窩洞


ボンディング処理後、近心隣接面にジーニアル アコード(A2)で隔壁を築盛


エバーエックス フロー(バルクシェード)を窩底部に充填
根管内(ポスト孔内)には充填しないでください。

さらにエバーエックス フロー(デンチンシェード)を充填


ジーニアル アコード(A2)で咬合面を充填修復

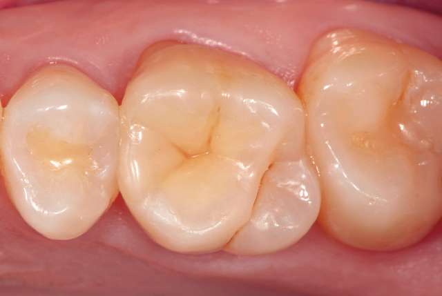
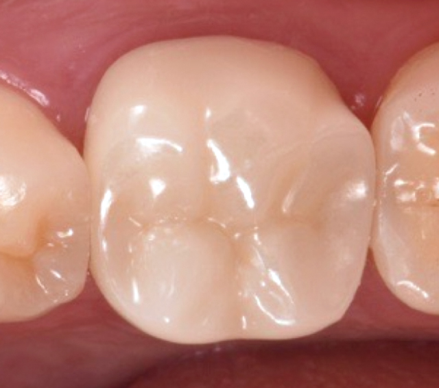
術後
エバーエックス フローが露出しないよう、表層に使用可能なコンポジットレジンで表面を覆ってください。
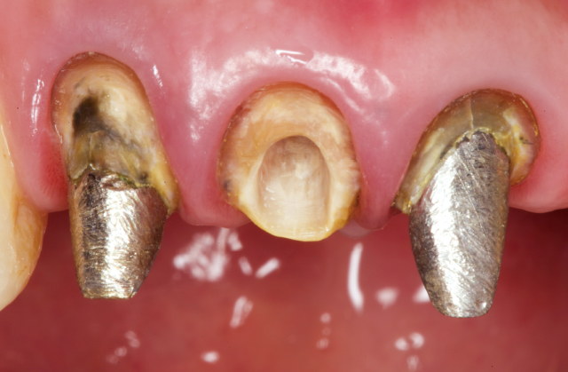
症例2
支台築造(直接法)
仕様


色調●2色=バルク、デンチン
包装●1函(各色):シリンジ 3.7g (2.0mL)1本、
フィリングチップⅢ プラスチック3個、
フィリングチップ用キャップ1個、テクニックガイド1部




包装●
フィリングチップⅢプラスチック15個、
フィリングチップ用キャップ2個

歯科充填用コンポジットレジン グレースフィルシリーズ
2mLシリンジ包装


色調●9色=A1、A2、A3、A3.5、A4、A5、U(ユニバーサル)、AO2、AO3
包装●1包:3.4g(2mL)入シリンジ1本(フィリングチップ付)


色調●9色=A1、A2、A3、A3.5、A4、A5、U(ユニバーサル)AO2、AO3
包装●1包:3.4g(2mL)入シリンジ1本(フィリングチップ付)


色調●9色=A1、A2、A3、A3.5、A4、A5、U(ユニバーサル)、AO2、AO3
包装●1包:3.6g(2mL)入シリンジ1本(フィリングチップ付)


色調●2色=ユニバーサル(U)、デンチン(D)
包装●1包:3.4g(2mL)入シリンジ1本(フィリングチップ付)


色調●15色=A1、A2、A3、A3.5、A4、A5、B2、B3、C2、C3、AO1、AO2、AO3、E1、BW(ブリーチングホワイト)
包装●1包:3.8g(2mL)入シリンジ1本
歯科充填用コンポジットレジン グレースフィルシリーズ
1mLシリンジ包装


色調●18色=A1、A2、A3、A3.5、A4、A5、B1、B2、B3、C2、C3、U(ユニバーサル)、AO1、AO2、AO3、E1、E3、BW(ブリーチングホワイト)
包装●1包:1.7g(1mL)入シリンジ1本(フィリングチップ付)ダブルパック(A2、A3のみ):1.7g(1mL)入シリンジ2本(フィリングチップ付)


色調●19色=A1、A2、A3、A3.5、A4、A5、B1、B2、B3、C2、C3、U(ユニバーサル)、AO1、AO2、AO3、E1、E3、BW(ブリーチングホワイト)、WO(ホワイトオペ―ク)
包装●1包:1.7g(1mL)入シリンジ1本(フィリングチップ付)ダブルパック(A2、A3のみ):1.7g(1mL)入シリンジ2本(フィリングチップ付)


色調●9色=A1、A2、A3、A3.5、A4、A5、U(ユニバーサル)、AO2、AO3
包装●1包:1.8g(1mL)入シリンジ1本(フィリングチップ付)ダブルパック(A2、A3のみ):1.8g(1mL)入シリンジ2本(フィリングチップ付)


色調●14色=A1、A2、A3、A3.5、A4、A5、A6、JE、AE、BW、BOW、AO1、AO2、AO3
包装●1包4.0g(2.1mL)1本、シリンジ1本


色調●1色=ユニバーサル
包装●セット1函
※※専用のセルフエッチングボンド単品もあります。


色調●1色=ユニバーサル
包装●セット1函
※専用のセルフエッチングボンド単品もあります。


色調●4色=トランスルーセント、ユニバーサル(A2)、AO3、ホワイト(オペーク)
包装●1函
※バリューパックユニバーサル(A2)5本入もあります。


種類●Φ1.2、Φ1.4、Φ1.6(mm) ※全長はすべて22mm
包装●アソートメントキット1函:ファイバーポスト Φ1.2、Φ1.4、Φ1.6(mm) 各5本、ファイバーポストドリル Φ1.2、Φ1.4、Φ1.6(mm)各1本 1函:10本 1函:20本
※ファイバーポストドリル単品包装、Φ0.8、Φ1.0(mm)のファイバーポストNもあります。


種類●Φ0.8、Φ1.0(mm) ※全長はすべて22mm
包装●1袋:10本


種類●Φ1.2、Φ1.4、Φ1.6(mm) ※全長はすべて22mm
包装●1袋:20本 1袋:60本


包装●セット1函
※2本包装、単品包装、ユニドースセットもあります。


包装●1函:3mL 1本
歯科用象牙質接着材/歯科金属用接着材料/歯科セラミックス用接着材料/歯科用知覚過敏抑制材料/歯科用シーリング・コーティング材

包装●1函:4mL 1本
歯科用象牙質接着材

包装●1函:4mL 1本
歯科セラミックス用接着材料