

粒度の異なるフィラーの組み合わせにより光拡散性が向上し、
レジンマトリックス内部で色情報を拡散させ、より強力なカメレオン効果をもたらします。
これまでのGCのCR開発の経験を活かし、光透過性、光拡散性、彩度を最適化することで、
ワンペーストで様々な色調に適合するCR開発を達成しました。

バリウムガラス
フィラー
300nm

バリウムガラス
フィラー
150nm

微粉末シリカ
16nm
光拡散性の低いCR
光が直進するので裏打ちが無いと透けて暗く見える
G-フロー ONE
最適化された光透過性と光拡散性により裏打ちが無くても色がなじむ

独自の技術を駆使したナノフィラーの均一分散化により、摩耗による表面フィラーの脱落が起こりにくく、
脱落しても表面の凹凸が小さいためツヤが維持されます。



SEM画像
ジーシー研究所測定データ
イメージ

吸水量を大幅に抑制する独自のレジンマトリックス技術により着色しにくく、
コンポジットレジン本来の色調を長期的に維持します。




ジーシー研究所測定データ

咬合面にも使用できる高い曲げ強度と優れた耐摩耗性を実現しました。




ジーシー研究所測定データ

適度な流動性を持ち付形性が良く、形が崩れにくいフロー形状のため、オールマイティに使用できます。

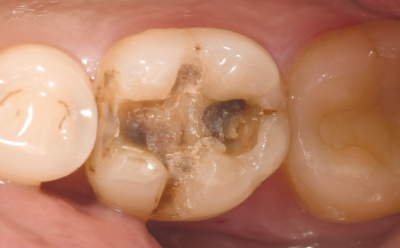
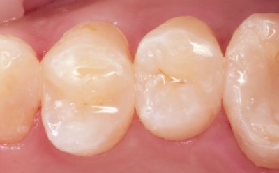
窩洞形成後


充填後


研磨後

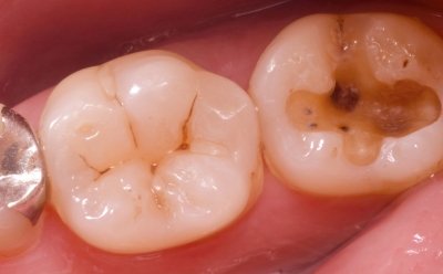
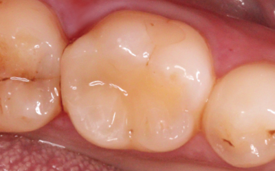
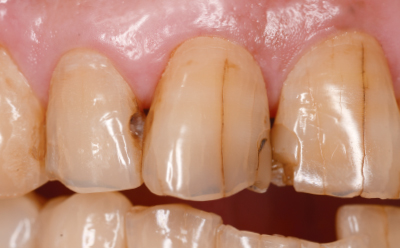
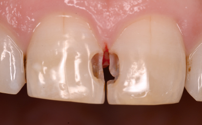
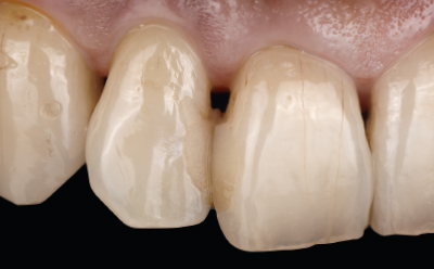
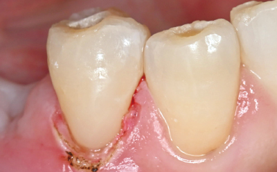
術前


窩洞形成後


充填・研磨後

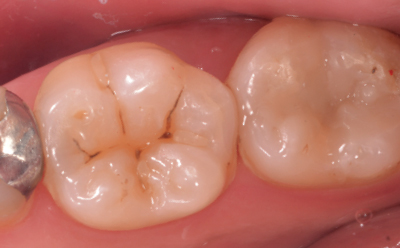
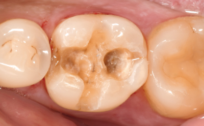
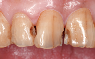
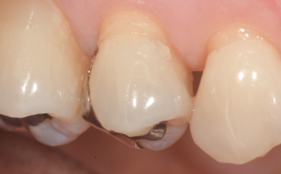
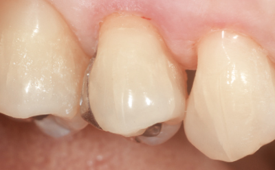
窩洞形成後


充填後


研磨後

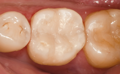
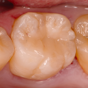
術前


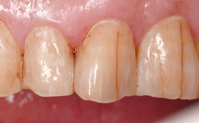
窩洞形成後


充填・研磨後

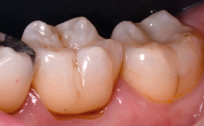
術前


窩洞形成後


充填・研磨後

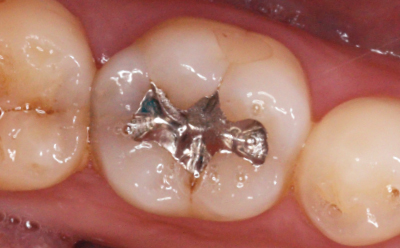
術前


窩洞形成後


充填・研磨後

術前


窩洞形成後


充填・研磨後

術前


窩洞形成後


充填・研磨後

術前


窩洞形成後


充填・研磨後

術前


充填


研磨後

術前


CO2レーザーによる歯肉形成


充填・研磨後

術前


窩洞形成後


充填・研磨後

術前


窩洞形成後


エバーエックス フロー
(デンチン)


G-フロー ONE充填


充填・研磨後


包装●
1函:シリンジ 3.4g (2.0mL)1本、フィリングチップⅢ プラスチック2個、フィリングチップⅢ ニードル1個、フィリングチップ用キャップ1個

歯科充填用コンポジットレジン
ジーシー G-フロー ONE
管理医療機器 306AKBZX00075000
製造販売元 株式会社ジーシーデンタルプロダクツ



包装●
フィリングチップⅢニードル15個、フィリングチップ用キャップ2個

包装●
フィリングチップⅢプラスチック15個、フィリングチップ用キャップ2個
マウスオーバーすると
拡大されます。