GCロゴ

医療ホワイトニングの疑問解決:
歯科衛生士が患者さんからよく聞かれる質問にお答えします!

歯科医師監修

医療ホワイトニングコラム

医療ホワイトニングについて効果や
よくある質問などを全国の歯科医師・
歯科衛生士がわかりやすく解説します。

医療ホワイトニングコラムのイメージ画像 医療ホワイトニングコラムのイメージ画像

はじめに

皆さん、こんにちは。北浦和にある登坂歯科医院で歯科衛生士として働く伊藤です。当院では歯周病やむし歯の早期発見と重症化予防のため、多くの患者さんが定期メインテナンスで通院されています。「歯が痛い」「詰め物がとれた」「歯ぐきから出血する」といった、むし歯や歯周病に関係する治療が目的でいらっしゃる患者さんがほとんどですが、私は治療が一通り終わり、お口の状態が安定してきた段階で医療ホワイトニングを提案するようにしています。その理由は、治療が終わり定期的にクリーニングを受けるようになると、改めてご自身の歯の色が気になってくる方がいらっしゃるからです。1万人を対象にした調査※1では「歯を白くすることに興味がある」「やや興味がある」と回答された方は64.9%となっています。皆さんは、いかがでしょうか?

歯を白くすることに興味はありますか

興味がある やや興味がある64.9%
ジーシー調べ 2024/6 インターネット調査20~69歳 10,000名

※1医療ホワイトニング.jp 医療ホワイトニングとは?

そこで今回は、メインテナンス通院中の患者さんから聞かれることが多い歯のホワイトニングに関する質問とその回答をご紹介します。

2ホワイトニング治療の期間について

歯を白くする方法として、被せものなど歯を削って行う方法もありますが、当院では歯を削らない医療ホワイトニングをまずはご提供しています。次の2つの方法があり、期間も異なります。
 1つ目は、オフィスホワイトニング※2で、診療室で行います。診査診断で30分、ホワイトニングで90分が時間の目安で、診査診断とホワイトニングは2日に分けて行うことが多いです。
 2つ目は、ホームホワイトニング※2で、診療室で使い方を患者さんにお伝えし、ご自宅など歯科医院以外の場所で専用のマウスピースを装着して歯を白くする方法です。手順としては、まずは診療室で診査診断後、マウスピースの型を採ります(30分)。その型を使ってマウスピースを制作し、数日後に薬剤とマウスピースのお渡しと使い方の説明で再度ご来院いただきます(30分)。そこから毎日1~2時間、10~14日間続けて薬剤を入れたマウスピースを装着していただき2週間後にどのくらい白くなったか確認でご来院いただきます(30分)。装着時間と日数は、歯科医師の診断や使用する製品などで異なりますが、トータルの期間としては約1か月が目安になります。

また、オフィス・ホームともホワイトニング後に白さの再評価を行いますが、計画していた効果が得られないことがあります。その場合は患者さんの希望によっては、歯科医師が治療計画を再検討して追加でホワイトニングを行うこともできます。また、短期間で白くする必要がある方には、オフィスとホームを組み合わるデュアルホワイトニング※2という選択肢もあります。

※2:オフィスホワイトニング、ホームホワイトニング、デュアルホワイトニングについてはこちら

3世代別 医療ホワイトニングの治療例

ホワイトニングに興味がある患者さんからよく聞かれる質問に「同世代の治療例を見てみたい」があります。そこで、今回は各世代で同意を得られた患者さんのご好意で実際の治療過程を写真でご紹介します。

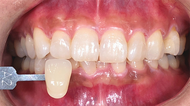
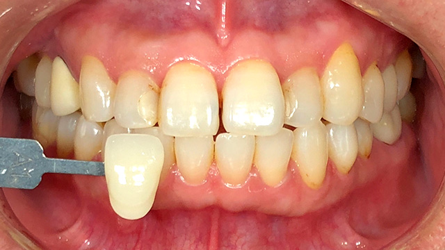
歯の白さの評価方法

ホワイトニングの治療効果は、こちらの「シェードガイド」を用いて確認します。これは被せ物など人工の歯を作る際に用いる歯の色見本で、同じ形の前歯が並んでいます。これを白い順(明度順)に並び替えることで、歯の白さを評価する指標として用います。また、1本ずつ金属の棒に固定されており、抜き差しできるので、近い色のシェードガイドを選んで歯の写真で一緒に写すことで、術前術後や途中経過の色を記録するためにも使われます。

シェードガイド

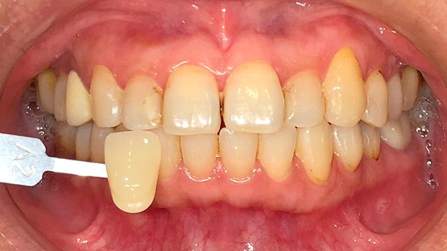
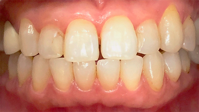
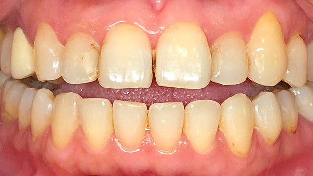
■20代 男性

ホワイトニング前 ホワイトニング前
【ホワイトニング前の色調(A3)】

こちらの方は、シェードガイドでは水色で囲ってあるA3という色でした。一般的な日本人の歯の色ですが、やや黄色いと感じる方もいます。患者さんの希望と、歯科医師による診査診断から、まずは14日間ホームホワイトニングを実施する治療計画を立てました。

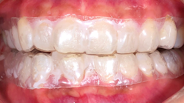
ホワイトニング中
【ホームホワイトニング剤 注入の指導】

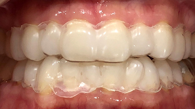
 治療の結果、A2という色になりました。A2はA3に比べ、黄色み、赤みが抜けて、明るい色です。

ホワイトニング後 ホワイトニング後
【ホワイトニング後の色調(A2)】

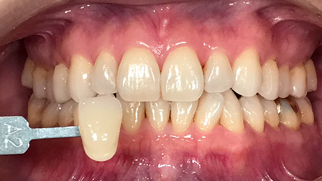
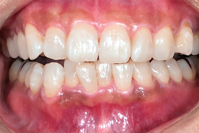
■30代 女性

ホワイトニング前
【ホワイトニング前】
ホワイトニング前 ホワイトニング前
【ホワイトニング前色調確認(A3)】

この方も、ホワイトニング前の色調はA3でした。歯科医師の診査診断後、使用方法について説明し、14日間のホームホワイトニングを行いました。

ホワイトニング中
【ホワイトニング中】
ホワイトニング後
【ホワイトニング 2週間後】
ホワイトニング後 ホワイトニング後
【ホワイトニング2週間後 色調確認(A2)】

14日間を過ぎた段階でご来院いただきましたが、目標の白さまで到達していませんでした。患者さんに使用状況を確認したところ、薬剤の使用量を誤解されており、少ない量で使用されていたことがわかりました。ホームホワイトニングの効果を得るためには、適正な量の薬剤を入れたマウスピースを毎日装着することが重要です。歯科医師が診断し、知覚過敏症状は無かったので、使用量を再度患者さんと確認し追加で7日間ホームホワイトニングを続けることとなりました。

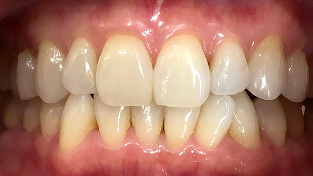
ホワイトニング後
【ホワイトニング 3週間後】
ホワイトニング後 シェードガイド
【ホワイトニング3週間後 色調確認(A1)】

最終的には、目標とした白さのA1になりました。A1はA2よりも更に赤みと黄色みが減り「この人は歯が白いな」と感じる色です。非常に明るい白さですが、自然感もあり医療ホワイトニングの目標として患者さんが希望されることが多い歯の色です。


■40代 女性

ホワイトニング前
【ホワイトニング前】
ホワイトニング前 ホワイトニング前
【ホワイトニング前の色調(A2)】

ホワイトニング前の色はA2でした。歯科医師の診断後、14日間のホームホワイトニングを開始しました。

ホワイトニング中
【ホワイトニング中】
追加ホワイトニング後
【追加ホワイトニング後】
ホワイトニング後 ホワイトニング後
【追加ホワイトニング後色調確認(A1)】

ホームホワイトニング後はA1になり、喜んでいただきました。


■50代 女性

ホワイトニング前
【ホワイトニング前】
ホワイトニング前 ホワイトニング前
【ホワイトニング前色調確認(A2)】

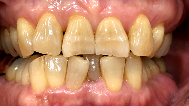
ホワイトニング前の歯の色はA2でした。前歯に詰め物があるので、その部分はホワイトニングの対象ではないことを説明し、ホームホワイトニングを14日間行うことになりました。

ホワイトニング前
【ホームホワイトニング剤 注入の指導】
ホワイトニング中
【ホワイトニング中】
ホワイトニング後
【ホワイトニング後】
ホワイトニング後 ホワイトニング後色調確認
【ホワイトニング後色調確認(A1)】

ホームホワイトニング後はA1になりました。

こちらの方は3か月後の定期健診で「ホワイトニング直後の色調を維持したい」と希望されたので院長が確認し、再ホワイトニング(タッチアップ※3)を行いました。

※3:タッチアップについてはこちら


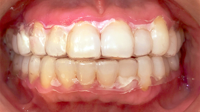
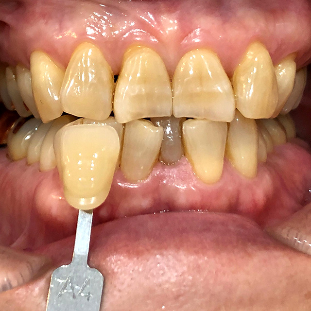
■60代 女性

オフィスホワイトニング前
【オフィスホワイトニング前】
ホワイトニング前 ホワイトニング前
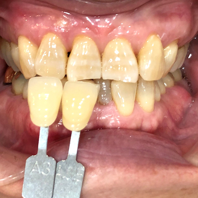
【オフィスホワイトニング前色調確認(A4)】

ホワイトニング前の色調はA4でした。A4は赤茶色で暗めな色です。歯の黄ばみを改善し、A1程度まで白くしたいという希望だったので、オフィスホワイトニングとホームホワイトニングを併用する治療計画となりました。

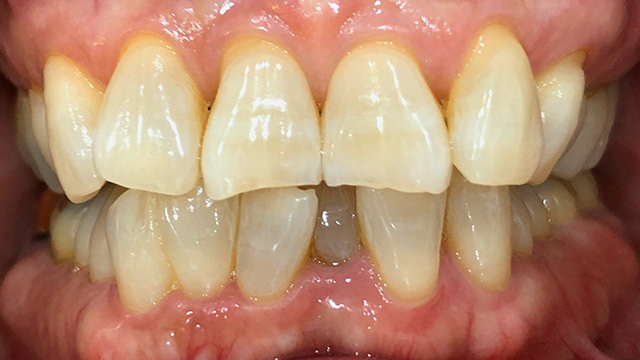
オフィスホワイトニング後
【オフィスホワイトニング後】
ホワイトニング前 ホワイトニング前
【オフィスホワイトニング後色調確認(A3)】

オフィスホワイトニング後はA3になりました。続いて10日間のホームホワイトニングを開始しました。

ホームホワイトニング剤 注入の指導
【ホームホワイトニング剤 注入の指導】
ホームホワイトニング後
【ホームホワイトニング後】
ホワイトニング前 ホワイトニング前
【ホームホワイトニング後色調確認(A2)】

10日経過後に来院いただくと歯の色はA2になっていました。主訴であった黄ばみが消失し、自然で明るい白さとなったと大変喜んでいただきました。

4何歳から、できる?

当医院では18歳以上の方を対象にしています。理由としては、多くの方の歯の成長が完了している年齢であることと、使用する薬剤(医療機器)が未成年に対して使用することを想定していないことが挙げられます。成長が不十分な歯は、刺激に対する感受性が高く、ホワイトニングの薬剤による刺激が歯の神経に痛みや炎症を引き起こす原因になってしまう可能性も考えられます。

また18歳でも高校生の患者さんには、保護者の方へも治療計画を説明し、同意してもらうようにしています。

5何歳まで、できる?

当院では70歳の患者さんが最高齢のホワイトニング患者さんです。医療用のホワイトニング剤は年齢の上限は制限されていません。そのため、ご本人の希望と歯科医師の診断があれば何歳でも治療を受けていただくことができます。一般的に、若い患者さんほど早く白くなりやすく、中高年・高齢の患者さんは若い方より時間はかかる傾向があります。加齢による黄ばみがとれるので、同世代より若々しくなったと感じることもあります。

また部分入れ歯や、インプラントを入れた部分の歯の色にあわせて、ご自身の歯をホワイトニングしたいという希望もあり、当医院では出来る限り対応するようにしています。気になる方は、通院中の歯科医院で聞いてみてください。

6白くなりすぎないか心配

「芸能人のような真っ白な歯にしてみたい」という方がいる一方で「陶器のような白さではなく、自然な歯の白さを手に入れたい」という方もいらっしゃいます。当院では、さきほど紹介したシェードガイドを用いて、術前に希望される白さを確認して治療計画を立てています。ちなみに、ハリウッドスターに多い陶器のような真っ白な歯は医療ホワイトニングではなく歯を削ってセラミックの被せ物をしている場合が多いと思います。

7知覚過敏などの不快症状について

知覚過敏症状は全くない方もいらっしゃれば、開始数日のみ症状を感じる方、開始から6~10日後に症状を感じる方など様々です。当院では知覚過敏症状が出た場合、ホームホワイトニングを休憩するよう患者さんにお伝えしています。ほとんどの場合、1日または数日で症状が消失する傾向があります。

8セルフホワイトニングについて

皆さんは、駅ビルや個人宅、美容エステやジムなどの一部が提供するセルフホワイトニング※4をご存じでしょうか。そこでは、自分で歯磨き粉や化粧品を歯に塗って、汚れを落とす場所を貸すサービスが提供され、ここ10年くらいで全国に広まっているようです。患者さんからも聞かれることがあるのですが、歯科医院で行われている医療ホワイトニングとは異なりますので、ご注意ください。

またセルフホワイトニングは一般的に、クーリング・オフが適用されないため、国民生活センター、消費生活センターが国民向けの注意喚起を行っています※5。国民生活センターの報告書※6によると、SNSで無料体験の広告を見て出向いたところ、強引な勧誘があり、必要のない契約をしてしまったという方もいるようです。また同報告書では、PIO-NET(全国の消費者センターによせられた苦情相談の収集システム)に寄せられた、セルフホワイトニングの参考資料としてセルフホワイトニングの平均契約購入金額は約7万円とあり、一般的に3~5万円で提供されている医療ホワイトニングよりも高額な費用を支払っている方も多いのではないかと感じます。気軽に受けられるセルフホワイトニングも良いかもしれませんが、歯のプロである歯科医師や歯科衛生士から説明を受け、審査診断のもと治療中も様々な相談ができる医療ホワイトニングの良さもある事を本コラムを通じて皆さんに感じてもらえると嬉しいです。

※4:セルフホワイトニングと医療ホワイトニングの違いはこちら
※5:独立行政法人国民生活センター 「セルフエステ」の契約トラブルに注意!
-特に「セルフホワイトニング」に関する相談が増えています-
https://www.kokusen.go.jp/news/data/n-20240731_1.html
※6:独立行政法人国民生活センター 「セルフエステ」の契約トラブルに注意!
-特に「セルフホワイトニング」に関する相談が増えています-[報告書本文]
https://www.kokusen.go.jp/pdf/n-20240731_1.pdf

9まとめ

今回お見せしたように、歯の色とホワイトニングの結果は様々ですが、ホームホワイトニングの場合、正しく使用すれば少しずつ白くなります。そして、ホワイトニング治療を受けた患者さんは歯が白くなるだけでなく、「笑顔に自信が持てて気分が前向きになった」「歯の白さを保つためにホームケアを更に頑張ります」といったお声を頂くことがあり、歯科衛生士としてとても嬉しく、やりがいを感じています。

定期的に歯科医院に通院されていて、歯の色を気にされている方は、ぜひ医療ホワイトニングについて聞いてみてください。

  • 登坂 悠也 先生

    登坂歯科医院

    院長

    登坂 悠也先生

  • 資格・所属学会

    2019年9月

    グアテマラ・マロキン大学 インプラントサイナスリフト&軟組織移植術オペ 修了

    2020年10月

    ニューヨーク大学インプラント研修プログラム卒業

    2022年4月

    MRC矯正加盟店認定医院 取得(さいたま市初)

    2023年3月

    埼玉県糖尿病相談員

    2023年11月

    分子栄養学 オーソモレキュラーONE取得

    略歴

    2015年3月

    日本大学松戸歯学部卒業

    2015年4月

    日本大学松戸歯学部研修
    医療法人社団 藤記会 大久保歯科医院研修

    2016年4月

    医療法人社団 藤記会 大久保歯科医院歯科 非常勤勤務
    医療法人社団 栄潤会 LaLaテラス歯科クリニック 非常勤勤務

    2019年8月

    医療法人 ひがし歯科医院訪問部 非常勤勤務

    2020年11月

    登坂歯科医院 開業

  • 伊藤 昌子 先生

    登坂歯科医院

    歯科衛生士

    伊藤 昌子先生

  • 略歴

    2010年3月

    椙山女学園大学 国際コミュニケーション学部
    国際言語コミュニケーション学科 卒業

    2015年3月

    愛知学院大学 短期大学部 歯科衛生学科 卒業

    2015年4月

    塚本歯科クリニック 勤務

    2016年4月

    やくし歯科医院 勤務

    2016年12月

    おちデンタルクリニック長久手 勤務

    2020年11月

    登坂歯科医院 勤務