- Aadvaホーム
- Material【マテリアル】
- 臨床ケース
臨床ケース
セラスマート CAD/CAM冠(小臼歯部)
-
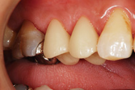
上顎右側4番
セラスマートによる症例

写真提供:Dr.佐氏 英介
-
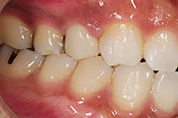
上顎右側4番
セラスマートによる症例

写真提供:Dr.疋田 一洋
Aadva ジルコニア オールセラミッククラウン
-
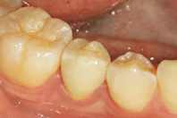
下顎右側5番
Aadvaジルコニアによる症例

写真提供:医療法人社団和愛会
銀座オーラルクリニック
Dr.田中 英生
DT.新谷 浩由樹
IP218
-
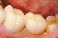
下顎右側7番
Aadvaジルコニアによる症例

写真提供:医療法人社団和愛会
銀座オーラルクリニック
Dr.田中 英生
DT.新谷 浩由樹
IP218