ついに誕生。
「ジーセム リンクエース」は、コンポジットレジン用ボンディング材「G‐ボンドプラス」で臨床実績がある“リン酸エステルモノマー”を配合。
歯質にセルフエッチング効果と化学的な接着を発揮し強固に接着します。
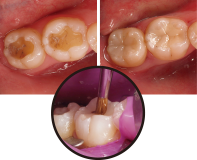
近年、急速に普及しているジルコニアや
従来のメタル修復物に対しプライマー処理を必要とせず、
リン酸エステルモノマーの効果により強固に接着。
また、セラミックス、ハイブリットレジンや二ケイ酸リチウム修復物に対しても
1液タイプの「セラミックプライマーⅡ」により
シランカップリング処理することで化学的に接着します。
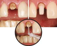
「ジーセム リンクエース」は気泡の混入のない、
均一にミキシングされたセメントペーストを必要なだけ、
直接、窩洞や修復物に塗布することが容易です。
とくに専用の細いチップ(EMミキシングチップFとF用ノズルRC)を併用することで
根管内、クラウン内面や臼歯部の深い窩洞でも
気泡を混入することなく塗布することが可能です。
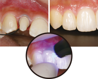
「ジーセム リンクエース」はデュアルキュア型のため、
余剰セメントに約1秒間光照射(タックキュア)※することで半硬化させ、
一塊で容易に除去することができます。
光照射を行わない場合でも口腔内にセット後約1分〜で同様に除去できます。
また、歯肉縁下や歯間部の余剰セメントもちぎれにくく、
除去しやすいため歯周組織にも優しいセメントです。
※余剰セメントの光照射時間は、光照射器の性能や照射する距離により異なります。
「ジーセム リンクエース」は、象牙細管を封鎖、強固に接着することで
物理的な刺激を遮断し、術後疼痛や咬合痛の発生を抑えます。
また、化学重合性を高めることで、
硬化体からの未重合モノマーの溶出もほとんどなく、
生体にやさしい設計です。
「ジーセム リンクエース」は、光重合はもちろん、化学重合のみでも
HTI slf-curing テクノロジー(3つの重合触媒を効率よく機能させる)により、
高い理工学的特性を発揮します。
このためメタルや光が通りにくいジルコニア補綴修復物の
接着にも効果的です。
フィラーを高密度に充填することと、重合性を高めることで高い圧縮強さを実現。
また耐摩耗性にも優れているため、
セメントラインの摩耗や着色を抑制することが期待できます。
