多機能イメージング・システム
Aadva GX-100 2Dは、高品質なパノラマ、セファロX線撮影装置
です。エンド、ペリオなどの日常臨床や矯正治療などの様々な
歯科治療において正確で詳細な診断画像を提供します。

Aadva GX-100 2Dは、高品質なパノラマ、セファロX線撮影装置
です。エンド、ペリオなどの日常臨床や矯正治療などの様々な
歯科治療において正確で詳細な診断画像を提供します。

「オートフォーカス」はパノラマモード専用の機能です。焦点が合う最適な部分を自動で抽出して画像を生成します。位置付けの失敗による再撮影のリスクも軽減されます。


顎関節の観察




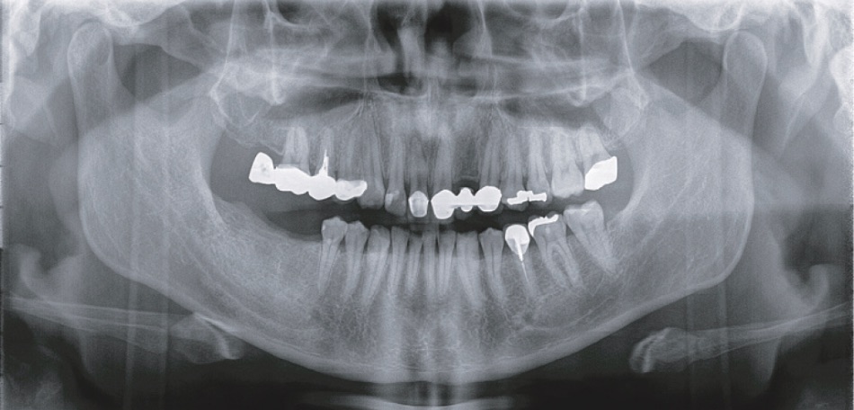
標準パノラマ撮影

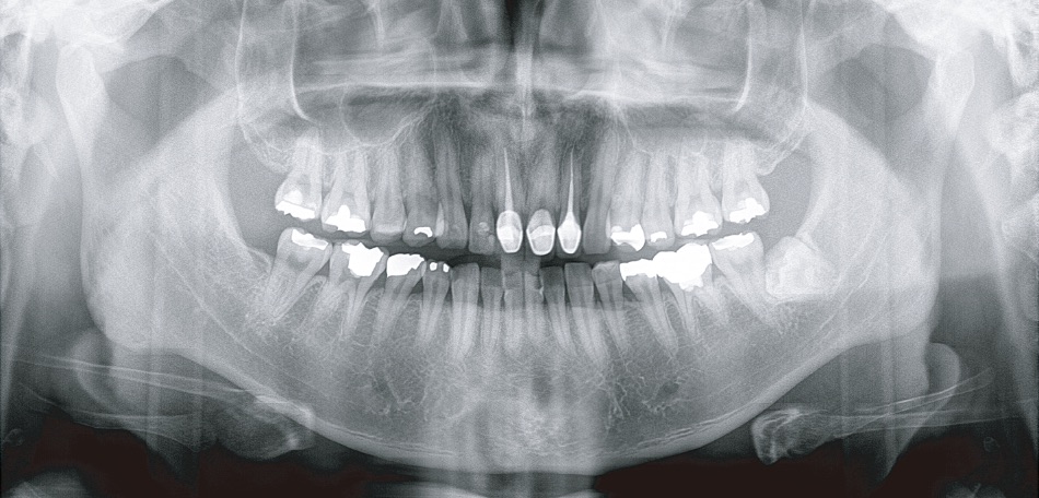
顎骨直交パノラマ撮影

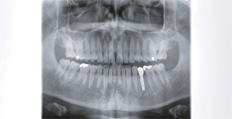
バイトウィングパノラマ撮影

分割パノラマ撮影

顎関節側方二重撮影

上顎洞撮影

正中矢状面測方スキャン
Normalモードの照射時間(8秒)と比較して、Fastモードの照射時間は半分(4秒)。高速スキャニングにより、患者への負担や画像のブレを軽減させます。
パノラマ撮影部とセファロ撮影部を対称にレイアウトすることで、撮影中のブレを低減し鮮明な画像が取得可能に。
患者位置付け用ビームが、ポジショニングを容易にし、撮影の再現性を高めます。



セファロ側方撮影

セファロAP方向撮影

ウォーターズ法撮影

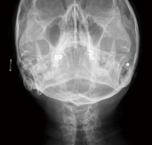
頭部一軸方向撮影

手根骨撮影