歯周病
![]()
![]()
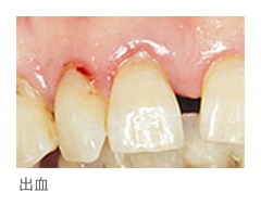
歯を磨くと出血する 
健康な歯肉であれば、正しい磨き方をした場合、出血することはありません。歯を磨くと出血するということは歯肉に炎症があることを意味しています。たまに出血するぐらいですとそれ程気にすることはありませんが、毎回ということになりますと歯肉炎が考えられます。歯周病の始まりと考えてよいと思います。正しい歯磨き指導と歯石をとるスケーリングという治療を受けるのがよいでしょう。
歯ぐきが腫れる
歯ぐきがよく腫れるということは、歯のまわりに歯周ポケットと呼ばれる袋状のものができていて、その中に歯周病をひき起こす細菌が存在していて、体調をくずした時にその細菌が増殖して細菌の力が優勢になり、生体の防御機構が破綻して、膿みがたまり歯ぐきが腫れることになります。まさしく歯周病の典型的な症状です。歯ぐきを腫らす度に歯の骨が少しずつ溶けていきます。歯が抜けるのを防ぐために早期に歯周ポケットを無くす治療が必要です。
強い口臭
口臭は感覚的なものですが、人間関係においてはかなり重要な側面を持っています。口臭の原因としては3つのソースが考えられます。一つは内臓疾患がある場合、二つ目は鼻疾患がある場合です。そして口腔です。口腔で一番考えられるのは歯周病です。過去の研究で歯周病と口臭の間には高い相関性があることが知られています。歯周病の特徴は歯周ポケットが出来ることです。これは口の細菌の格好の住処を提供します。細菌の中でも嫌気性菌は代謝の過程で硫化水素やメチルメルカプタンを産生します。これが口臭のもとになります。客観的に口臭の度合いを測定する装置がありますので、調べてもらうとよいでしょう。また、歯周病のチェックも必要です。