ステイン(着色)/変色
![]()
![]()
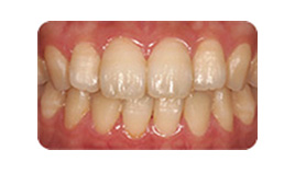
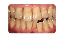
歯に色がつく原因 
コーヒー、お茶、タバコ等による変色
色素が歯の内部まで取り込まれることにより、歯が黄色
く見えてしまいます。
加齢による変色
年齢を重ねるにしたがって、人の歯は自然と黄色く変色していきます。
全身疾患に由来する変色
胎児の時期に、母親が服用した抗生物質や過剰に摂取したフッ素などの影響により歯が変色してしまうことがあります。
これらの要因により歯が変色してしまった場合には
「ホワイトニング」で改善することができます。
誰でも気にしている「歯の色」
歯の色を気にされているのは、あなただけではありません。皆さんにお口のことで満足していないことをお聞きした結果、(2004年 ジーシー実施国民意識調査より)60%を超える方が歯の色に不満を持っていることがわかりました。
しかし ほとんどの場合はホワイトニングによって改善することができるのです。