最新の3 in 1システム
(CBCT、パノラマ、セファロ)
Aadva GX-100 3Dは、最新の3in1(CBCT、パノラマ、セファロ)X線撮影装置です。
ST仕様、MX仕様の2つのモデルから目的に合った装置を選択いただけます。
エンド、ペリオなどの日常臨床からインプラント治療や矯正治療などの様々な
歯科治療において正確で詳細な診断画像を提供します。
Aadva GX-100 3Dは、最新の3in1(CBCT、パノラマ、セファロ)X線撮影装置です。
ST仕様、MX仕様の2つのモデルから目的に合った装置を選択いただけます。
エンド、ペリオなどの日常臨床からインプラント治療や矯正治療などの様々な
歯科治療において正確で詳細な診断画像を提供します。
CBCTテクノロジーが2Dでは把握しにくい部分を可視化。
診断や治療方針に関する患者さんの理解をサポートします。
オートスティッチング機能※は、撮影中の患者さんの動きを自動的に構成・補完し、2つの撮影画像を結合、最適な1つの画像に再構成することで広範囲FOV画像が得られます。
※ST仕様 “Face” モード
※MX仕様 “Skull” モード

補綴装置による金属アーチファクトの影響を最小限に抑え、最適な画像が得られます。

撮影時間は最短で、わずか7.7秒。
撮影時間の短縮は患者さんの負担を軽減するだけでなく、診療ワークフローの効率化も測ることができます。
※Tooth. Teethモード撮影時

Aadva GX-100 3Dは、様々なFOVサイズを有しています。
顔面全体、上顎洞、顎関節、顔面の非対称性の左右頬骨確認など、診断目的に応じてFOVサイズを選択することができます。単独のインプラント植立計画の範囲から、全頭蓋まで、極めて自由度が高い撮影装置です。

顎関節の観察
Φ23×14cm, φ23×24cmの広範囲撮影が可能です。
(MX仕様のみ)

Skullモード(Φ23×24cm)による撮影画像
Aadva GX-100 3Dは、各診断のニーズに応じた様々なFOVと解像度から選択することが可能です。最適な画像を獲得する一方で患者さんの被ばくを最小限に抑えます。
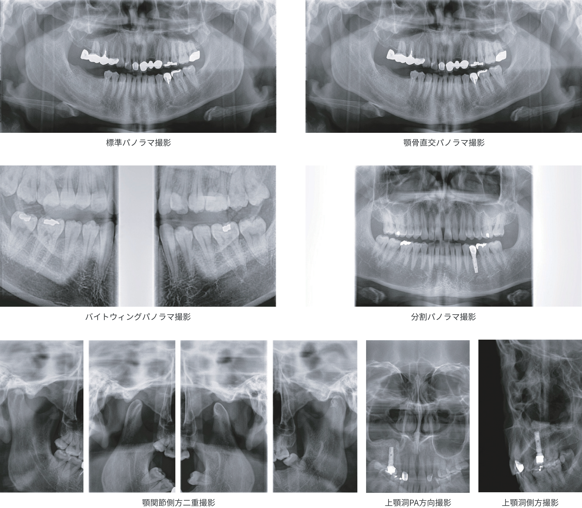
「オートフォーカス」はパノラマモード専用の機能です。焦点が合う最適な部分を自動で抽出して画像を生成します。位置付けの失敗による再撮影のリスクも軽減されます。
撮影モードは、Fast、Normal、HD(High-Definition)の3段階から画質を選択することができます。


鮮明な画像を取得するために撮影中のブレを低減。
患者位置付け用ビームが、ポジショニングを容易にし、
撮影の再現性を高めます。
スキャンタイプ、ワンショットタイプの仕様から選択可能。
ワンショットタイプは最短0.2秒、スキャンタイプは最短2秒(Ultra fastモード)で撮影ができます。
高速セファロで患者さんの被ばく線量を最小限に抑えつつ、動きによるブレを最小化することで正確かつ鮮明な画像が得られます。
ワンショットセファロは動きによるブレを最小化し、歪みのない高解像度画像が得られます。
スキャンタイプ仕様では、Ultra fast、Fast、Normal、HDの4段階から画質を選択することができます。