MPR(Multi-Planar Reconstruction)
MPRビューアーでは、診断エリアの3方向の断面画像(Axial, Coronal, Sagittal)を1画面に表示します。

TMJ Viewer
TMJビューアーでは、3Dボリュームレンダリング画像と左右顎関節のクロスセクション画像を同時に比較参照することができます。

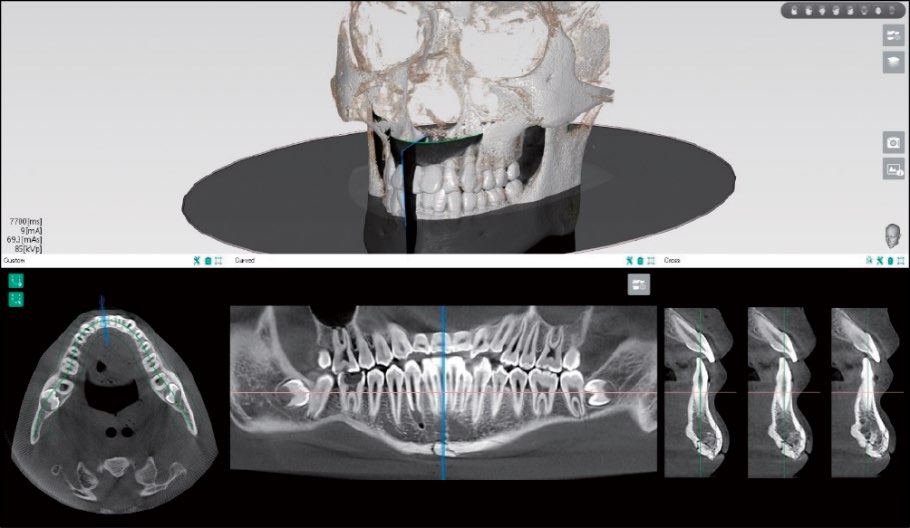
Curved MPR
パノラマ断層カーブを自由に設定し、再構成した断層画像とクロスセクション画像を得ることができます。

計測ツール
距離計測、角度計測、ラインプロファイルなど、便利な計測ツールを用意しています。

Implant planning
マルチレイアウト機能と下顎管描画機能により正確なインプラント植立計画を可能にします。
Support for DICOM 3.0
DICOM 3.0に対応しています。






