Comment masquer les préparations fortement décolorées

Face à des dents très décolorées, deux options s'offrent à vous : améliorer la couleur du substrat par blanchiment ou le masquer avec la restauration. Si la première option n'est pas possible, la conception de la préparation et le choix du matériau sont essentiels pour dissimuler efficacement une dent très tachée et obtenir un sourire attrayant.

 

 

Translucidité et esthétique de la restauration

Alors que les restaurations plus translucides sont souvent considérées comme plus esthétiques, une dent fortement décolorée nécessite une opacité suffisante pour masquer la décoloration. Choisissez une armature avec une opacité plus élevée, comme Initial Zirconia Disk HT ou Initial LiSi Press MO. La microcouche avec Initial IQ ONE SQIN ajoutera de la profondeur et de la translucidité. En cas de doute entre deux teintes, choisissez celle qui a la valeur la plus élevée.

Rester peu invasif

En cas de préparation décolorée, il peut être tentant de retirer davantage de tissu au profit de la céramique cosmétique. Cependant, avec la microcouche, on peut déjà obtenir de beaux résultats avec une couche inférieure à 0,6 mm. La préservation des tissus doit toujours prévaloir.

Une seule préparation décolorée représente un défi pour faire correspondre la teinte et conserver une translucidité naturelle.

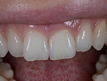
Images cliniques : Couronne antérieure unitaire en Initial LiSi Press (lingotin MO0) sur une préparation fortement décolorée. Avec l'aimable autorisation du MDT Stefan Roozen

Options d’assemblage

Lorsqu’une préparation est fortement décolorée, opter pour un ciment opaque peut être préférable. Cependant, si l’armature elle-même présente une opacité plus élevée, la couleur spécifique du ciment sous-jacent devient moins critique. En fonction des autres variables du cas, on pourra opter pour un ciment verre ionomère tel que FujiCEM Evolve ou pour une colle telle que G-CEM ONE (White Opaque ou AO3), selon la teinte cible.

 

 

Les dents décolorées constituent un défi courant pour les praticiens, qu’elles affectent une ou plusieurs dents. Identifier la cause est cruciale pour une bonne gestion. Une décoloration sévère nécessite souvent un masquage.

 

 

  1. Barbier AJ, King PA. Gestion de la dent unique décolorée. Partie 2 : options réparatrices. Mise à jour des bosses. Avril 2014 ; 41(3) : 194-6, 198-200, 202-4.
  2. Alessa M, Almanea R, Alhazzani E, Alsirhani A. Gestion des facettes stratifiées en porcelaine pour une incisive centrale décolorée avec résorption de remplacement radiculaire total : un rapport de cas. Clin Case Rep. 6 août 2021;9(8):e04588. est ce que je: 10.1002/ccr3.4588. eCollection 2021 août.
  3. Setien VJ, Roshan S, Nelson PW. Prise en charge clinique des dents décolorées. Le général Dent. Mai 2008 ; 56(3) : 294-300.