Initial IQ - ONE SQIN concours 2023

Initial IQ ONE SQIN logo

GC Europe est très heureux d'annoncer le concours Initial IQ ONE SQIN !

Un concours ouvert aux prothésistes de la région EMEA (Europe, Moyen Orient, Afrique) qui travaillent avec ONE SQIN et présenteront leur cas à un jury renommé.En plus de la gloire éternelle, il y a de nombreux autres prix fantastiques à gagner.

Comment participer?

Rien de plus simple!

1. Documentez un cas prothétique avec Initial IQ ONE SQIN avec au moins les étapes suivantes

Framework (Zirconia or Lithium Disilicate)

Armature

(Zircone ou Disilicate de Lithium)

 

Individualization & connection firing with Lustre Pastes ONE

Caractérisation & cuisson de connexion avec

Lustre Pastes ONE

Initial IQ ONE SQIN application

Initial IQ ONE SQIN

application

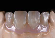
Initial IQ ONE SQIN final result

Initial IQ ONE SQIN

résultat final

Facebook, Instagram & Linkedin logo

2. Téléchargez votre cas entre le 1er janvier et la fin février 2023 sur votre propre compte de réseau social avec le titre suivant : " GC Europe Initial IQ ONE SQIN contest 2023

#onesqincontest " et rajoutez GC Europe (@gceurope).

Les médias sociaux participants sont Facebook, Instagram et Linkedin.

Comment gagner?

Impressionnez notre jury!

Notre jury international, composé de MDT Patric Freudenthal, MDT Stefan Roozen et du Dr Javier Tapia Guadix, examinera attentivement vos cas.

Des photos détaillées et une photo du résultat final en bouche pourraient vous valoir quelques points supplémentaires.



 

MDT Stefan Roozen

MDT Stefan Roozen

MDT Patrick Freudenthal

MDT Patrick Freudenthal

Javier Tapia Guadix

Dr. Javier Tapia Guadix

Grandmother social media

Mobilisez les foules!

Vous pouvez choisir de participer au prix des médias sociaux. Le cas qui aura le plus de commentaires et de likes gagnera également un prix ! Demandez donc à vos potes de laboratoire, à vos parents, à votre grand-mère et à votre père d'expliquer pourquoi vous devriez gagner (les commentaires humoristiques sont toujours appréciés ;-))

Qu’y a-t-il à gagner?

Des prix extraordinaires!

 

1st place

Produits GC d'une valeur de 1500 €

OU cours de 2 jours MDT Dirk Galle + visite de GC Europe*

& billet d'entrée 2 jours à l’IDS**

2nd place

Produits GC d'une valeur de 1000 €

+ billet d'entrée pour une journée à l’IDS

3rd place

Produits GC d'une valeur de 500 €

+  billet d'entrée pour une journée à l’IDS

Social media like and heart

Produits GC d'une valeur de 800 €

GC get connected ONE SQIN special edition

Les cas gagnants seront publiés sur les médias sociaux de GC Europe + les pages de médias sociaux locaux et seront publiés dans notre prochain magazine GC Get Connected.

* Voyage inclus en Belgique, hôtel, déjeuner et dîner pour 1 nuit/2 jours.

** Voyage inclus à Cologne, hôtel, déjeuner et dîner pour 1 nuit à Cologne.

Besoin d'aide pour démarrer?

GC à la rescousse!