Skip to main content

Bone regeneration under open wound using Cytrans® Granules

Dr. Yoichi Taniguchi
Hokkaido, Japan
Dr.-Taniguchi_Fig.1

Fig. 1. Pre-operative: Subgingival caries at 35 and a vertical root fracture at 36 were observed.

Dr.-Taniguchi_Fig.2

Fig. 2. Implantation: An 8 mm fixture was used due to anatomical constraints, but initial fixation was not obtained for 35.

Dr.-Taniguchi_Fig.3

Fig. 3. During bone regeneration: Cytrans® Granules (M size) mixed with blood were filled and laser was used for blood clot formation.

Dr.-Taniguchi_Fig.4

Fig. 4. After suturing: Although the epithelial defect was an open wound, it was sutured just enough to bring the flap closer in order to prevent narrowing of the oral vestibule.

Dr.-Taniguchi_Fig.5

Fig. 5. Before secondary surgery 4 months later: No evidence of delayed healing, recession or infection of the mucous membrane.

Dr.-Taniguchi_Fig.6

Fig. 6. During secondary surgery: A sufficient amount of bone regenerated around the fixture, and favorable secondary fixation was obtained.

Dr.-Taniguchi_Fig.7

Fig. 7. Approximately one year after bone regeneration treatment: No inflammation was observed in the surrounding tissue.

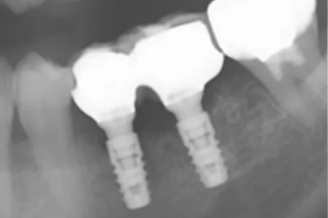
Dr.-Taniguchi_Fig.8

Fig. 8. Approximately one year after bone regeneration treatment: There is no evidence of resorption of the surrounding bone, even in X-ray images.