Skip to main content

Regenerative therapy of peri-implantitis using Cytrans® Granules

Dr. Noriko Tachikawa
Tokyo, Japan
Dr.Tachikawa_Fig.1

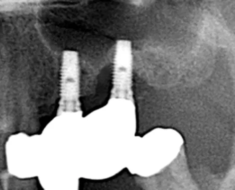
Fig. 1. Panoramic X-ray image at onset of peri-implantitis.

Dr.Tachikawa_Fig.2

Fig. 2. Pre-operative intraoral photograph. The superstructure was removed, a healing abutment was placed at 25, and a cover screw was placed at 26.

Dr.Tachikawa_Fig.3

Fig. 3. Intraoral findings after incision and detachment. Saucer-shaped bone resorption occurred around the implant and was surrounded by granulation tissue.

Dr.Tachikawa_Fig.4

Fig. 4. Granulation tissue was removed as a single mass, and the surface of the implant is thoroughly cleaned with a titanium brush and titanium ultrasonic tip.

Dr.Tachikawa_Fig.5

Fig. 5. Autologous bone collected from the maxillary tuberosity and Cytrans® Granules (S size) were mixed at a ratio of 50:50 and applied.

Dr.Tachikawa_Fig.6

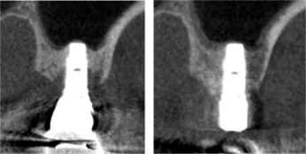
Fig. 6. Comparison of X-ray CT image at the onset of peri-implantitis and approximately half year after regenerative treatment (coronal image).

Dr.Tachikawa_Fig.7

Fig. 7. Intraoral photograph 1 year after regenerative therapy. The superstructure has been modified for better cleanability.

Dr.Tachikawa_Fig.8

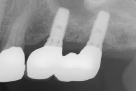
Fig. 8. Dental X-ray photograph of the same. The implant is clinically and radiologically stable.