Skip to main content

Sinus Lift Using a Mixture of Autograft and Cytrans® Granules

Dr. T. John Megas JR.
Springfield, Massachusetts
Dr.Megas_Fig.1

Fig. 1. Preparation of lateral window.

Dr.Megas_Fig.2

Fig. 2. Mixture of Cytrans® Granules (M size) and autograft was grafted to the sinus.

Dr.Megas_Fig.3

Fig. 3. Zirconia implants were placed simultaneously.

Dr.Megas_Fig.4

Fig. 4. Lateral window was covered with collagen membrane.

Dr.Megas_Fig.5

Fig. 5. Post-suturing

Dr.Megas_Fig.6

Fig. 6. Intraoral photograph 7 months after surgery.

Dr.Megas_Fig.7

Fig. 7. Post-operation X-ray image.

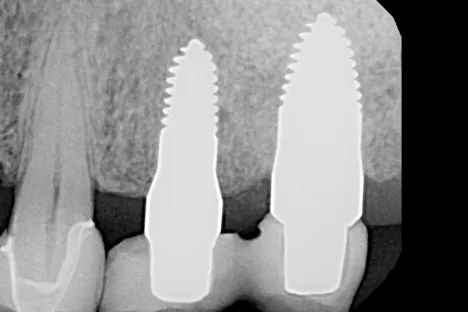
Dr.Megas_Fig.8

Fig. 8. X-ray image 7 months after implant placement.