Skip to main content

Socket Preservation Using a Mixture of Cytrans® Granules and Allograft

Dr. Milton Geivelis
Bartlett, Illinois
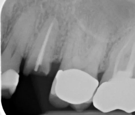
Dr.-Geivelis_Fig.1

Fig. 1. X-ray image of tooth to be restored prior to root extraction.

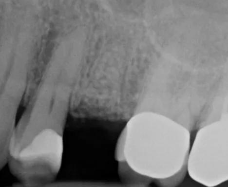
Dr.-Geivelis_Fig.2

Fig. 2. X-ray image taken after placement of Cytrans® Granules (S size) and allograft mixture.

Dr.-Geivelis_Fig

Fig. 3. Cytrans® Granules (S size) and allograft immediately after placement in the socket.

Dr.-Geivelis_Fig.4

Fig. 4. Socket preservation healing 3 months after surgery.

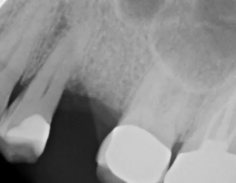
Dr.-Geivelis_Fig.5

Fig. 5. X-ray image of socket healing after 3 months.

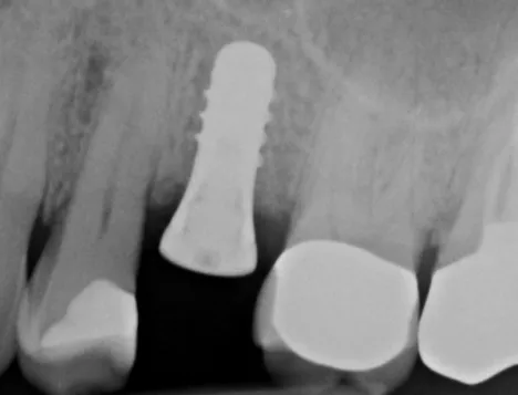
Dr.-Geivelis_Fig.6

Fig. 6. X-ray image of implant immediately after placement, 5.5 months after extraction and graft

Dr.-Geivelis_Fig.7

Fig. 7. 5 months post-op flap showing healed graft prior to bone core extraction and implant placement.

Dr.-Geivelis_Fig.8

Fig. 8. Histological section of the bone core taken from implant site at the time of implant placement.