スプリントレジンLCの臨床応用
GC CIRCLE No.86
| 近年いわゆる顎関節症の症状を訴える患者が増加の傾向にある。
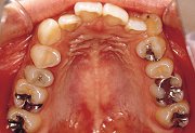
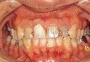
その主な症状には、顔面や頭頸部の筋部に疼痛を訴え、これにより咀嚼などの顎機能に異常を呈す「筋の疼痛」、開口障害や顎運動時に疼痛を訴える「顎運動障害」、さらには顎関節部に自発痛を訴えたり、開閉口時に顎関節部で雑音を発するといった「顎関節疼痛・雑音」などがある。 顎関節症を引き起こす病因は咬合障害やクレンチングやブラキシズムなどの悪習慣、さらにはストレスや感情といった心理的因子など複数のものが考えられており、それらが複合して作用し発症に至っている。 顎関節症の治療法として、スプリント療法、薬物療法、理学療法、心理・行動認識療法、外科療法などがあるが、われわれ歯科医が責任を持って行えるものにスプリント治療がある。 スプリント治療は、患者の歯列を削合することもない可逆的な治療法であり、歯列の咬合面をレジン製のスプリントで覆うことにより、顎関節症の発症因子である咬合障害因子を除外すると共に、クレンチングやブラキシズムの発生を防止できる効果がある。このような点から、顎関節症に対して最初に行う治療法として有効なものである。 今回、株式会社ジーシーが新しく開発した光重合型スプリント用レジンは重合収縮がほとんどなく、光重合したレジンスプリントを無修正で容易に口腔内に装着できる優れた性質を持っている。 |
写真をクリックすると、それぞれの症例が表示されます。 |
|
|
|
||||||
|
|
|
写真をクリックすると、それぞれの症例が表示されます。

