症例2 床矯正による反対咬合の治療経過と移動後の咀嚼訓練の経過
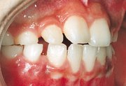
主訴:前歯が気になる。 初診時の年齢 8才7ヵ月 性別 女性
現症:翼状を伴う反対咬合と上顎の影響による下顎前歯部の前突。
治療方法:構成咬合がとれ、上顎の移動スペースがあるので、唇側線を付与して、中切歯を前方移動する。
|
|
|
|
|
|
|
|
|
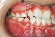
装置による動的期間は7ヵ月で、被蓋関係は改善したが、上顎中切歯と側切歯の接触関係は不安定である。左右中切歯の切端は不一致であり、歯軸は対称ではない。以降は移動処置をせずに、10ヵ月間の咀嚼訓練のみを行った。
|
|
|
|
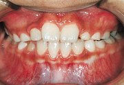
前歯部の被蓋と中切歯と側切歯の接触関係、臼歯の咬合関係は良好であり、左右の上顎中切歯は対称的な歯列になった。
咀嚼訓練のみで、咬合は安定し、歯列不正は改善した。咬合が不安定な場合は逆に、後戻りの可能性を示唆している。
|
オクルーザーの咀嚼機能の経時的結果

A-1 |
|

A-2 |
|

A-3 |
|
| A: |
咬合面積、
平均咬合圧力、
咬合力 |
| 1: |
初診時 |
| 2: |
移動後 |
| 3: |
咀嚼訓練終了後 |
|
咬合面積、平均咬合圧力、咬合力は粥川の示す正常値を越えており、正常と判断した。咬合力は初診時に473N(約47kgw)であったが、移動後は327N(約32kgw)に低下した。咀嚼訓練後は504N(約50kgw)に回復した。咬合面積も同様の経過であった。平均咬合圧力は初診時に6.3MPa(63kgw/cm2)、移動後6.7MPa(67kgw/cm2)、咀嚼訓練後6.0MPa(60kgw/cm2)と変化をしているが、その変化量は小さい。

B-1 |
|

B-2 |
|

B-3 |
|
| B: |
前後の咬合バランス |
| 1: |
初診時 |
| 2: |
移動後 |
| 3: |
咀嚼訓練終了後 |
|
初診時の左右咬合バランスは27.6%の差がある。前後的には第一乳臼歯と第二乳臼歯との間にある。このままだと、将来、顔貌が非対称となり、全身の歪みを生じさせる懸念がある。移動後の左右差は24.6%ある。前後的には第二乳臼歯と第一大臼歯との間に後方移動し、いわゆるEゾーンの近くにあり、良好と考えられる。咀嚼訓練後は左右の咬合バランスの差は1.4%になり、安定した状態と考えられる。