I 姿勢保持の訓練
|
I 姿勢保持の訓練 日常生活の姿勢を是正するためには、本人の強い意志と周囲の家族からの注意と指摘が必要である。 |
|||||||
| 1)全身のポスチャー
頭部と脊椎の姿勢が、顎機能障害にかかりやすい因子として位置付けられており、骨格性の不正咬合や咬合不調和などと同列に扱われている。咬合機能はポスチャーの影響を受け、問題がある場合はこれが顎口腔系の適応限界を越え、機能障害を引き起こす可能性がある。 頭部姿勢では頭部が前方にある猫背(forward head posture, FHP)の是正は不可欠である。AngleのII級の不正咬合と猫背との相関関係は高く、典型的な成人顎関節症患者には過蓋咬合あるいはII級の咬合と猫背が認められるとの報告がある。猫背の姿勢は頭部が前方に位置するために気道を狭くする。その結果、後頭部を後ろに反らせて気道を確保しようとして、無意識に口を開く傾向となり、鼻疾患による口呼吸と同様な原因ともなる。 猫背は日常の生活と歩行時の姿勢に常に注意を図る必要がある。椅子での生活が主となった生活様式で、姿勢を正せない場合はHAG社製の「バランスチェア」の使用を薦めている(図1)。 片側の噛みぐせがある場合は、噛みぐせのある方に首が傾斜し、肩が落ちている。首の位置を正しくすることと、ショルダーバッグなどを傾いた側の肩にかけることに注意する。片側噛みのある方を下にして就寝する傾向があるので、枕等を利用して、正面を向いて寝るように心がける。頬杖も同様に、歯列や下顎位の変化に影響を与えるので、これらの悪習癖を正す自覚が必要である。(写真1)。 |
|
||||||
| 2)口腔のポスチャー
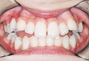
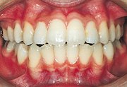
咀嚼訓練により咬合の機能とバランスを作り、口腔周囲筋の弛緩や異常緊張を取り除き、歯列や顎などを正しいポスチャーに保ち、それを維持することを目的としている。 歯列は前歯部では舌による舌圧力と口輪筋による口唇圧、臼歯部では頬筋の頬圧と舌の舌圧のバランスのとれた環境にあり、この環境バランスが保てないと、顔面の形態・歯列・発音に大きな影響が出てくる。 (1)舌のポスチャー 常に舌背は口蓋に接触しているよう注意する。嚥下時に舌を前に押しつけたり、上下の歯の間に舌を入れる悪習癖は是正する必要がある。(写真2 3)。会得できない場合には必ず後戻りをする。 (2)口のポスチャー 口呼吸が口のポスチャーを悪くしている。口呼吸は口輪筋の力を弱くしている。その結果、咀嚼時に舌と口輪筋の力のバランスを取るためにオトガイ筋が緊張する。この緊張が下顎の発育を抑制し、成長を阻害している。口呼吸の原因が鼻閉などに由来する場合は耳鼻咽喉科等での治療が必要である。 常に唇を閉じている状態のリップシールを保つ意識を持たせることが大切である。 特に子供の場合は口を閉じられないまま成長した悪い例を見せて、警鐘するのが一番効果的である(写真4)。 治療としては、左右の口角にバンドエイドを張り、その緊張により自覚を促すか、あるいは上下の口唇の間に、楊枝をくわえて、これが落ちないように指導している。 口唇の力は男女、年齢差はなく約2kgであり、口呼吸をしている場合は1kg以下の値を示す。棒ばかりに紐付きボタンをつけて口唇力を測定する。もしも測定値が低く、口唇力を増強するには、上下の唇のうらにコットンロールを入れて、30分間閉じる訓練を指示する。 |
|
||||||
![]() |
|||||||





