リペアボンドIIを用いた人工歯の修理と改変
GC CIRCLE No.87
既製の人工歯には、アクリルレジン歯、ポリサルホン歯、硬質レジン歯、陶歯などがある。その中で私は、物理的性質の総合バランス性、床用レジンとの結合性などの点から主に硬質レジン歯を臨床に用いてきた。各メーカーの硬質レジン歯物性公表値を見てみると、アクリルレジン歯に対して硬さ(ヌープ硬度)は2倍、耐摩耗性は6倍以上の数値を示している。
しかし、いくら物性値が向上しているとはいえ術後経過した義歯の硬質レジン歯を観察していくと、患者さんの個人差、個体差、食生活、義歯の構造などの違いにより様々な状態を呈してくる(1~9)。短期に咬合接触が喪失する程の咬耗、色調が変化する程の摩耗、切端や咬頭などの部分的な破折、床用レジンとの接着不足による破折、脱落などの問題が起きている。
臼歯の咬耗、摩耗、破折の対応策として一般的に咬合面を金属に置き換える方法が考えられるが、審美性、経済性、操作性などの点から適応できない症例も多々ある。このような場合、以前は高密度に架橋された硬質レジン同士の接着性に不安があるため、前歯、臼歯にかかわらず多少の破折でも同じ新しい人工歯を再度置き換えることで対応していた。しかし、現在はリペアーボンドIIの接着性を期待して、咬耗、摩耗、破折等の問題が起きたとしても新しい人工歯に置換することなく、前装用の硬質レジンを部分的に追加築盛して修理を行っている。また、上下の顎間距離が狭い時や支台装置の脚部との兼ね合いなどで人工歯の基底部アクリル層が減少、喪失した結果起きる破折、脱落の対応としても、リペアーボンドIIの床用レジンとの接着性を期待して使用している。
そこで今回は、リペアーボンドIIを用いて人工歯を修理、改変した症例を通して使用方法及び感想を少し述べてみたいと思う。
《臨床用途》
1.硬質レジン前装冠を部分的に色調変更したい時。
2.術後経過の中で硬質レジン前装冠が摩耗、破折などのトラブルを起こした時。
3.人工歯の形態、大きさを変更したい時。
4.天然歯色調に調和する人工歯がない場合。
5.削合によって人工歯基底部のアクリルレジン層が喪失した場合に床用レジンとの接着性を高めたい時。
| レジン | 引っ張り接着強度(MPa) | ||||
| 種類 | 製品名 | 状態 | リペアーボンドII | リペアーボンド | |
| 硬質レジン歯 | デュラデント | エナメル | 乾燥 | *6.19(2.09) | *6.52(1.42) |
| 吸水 | *6.56(1.64) | *6.83(1.85) | |||
| デンチン | 乾燥 | *10.42(1.81) | 7.71(1.83) | ||
| 吸水 | *11.14(1.45) | - | |||
| カラー | 乾燥 | 13.34(4.43) | 7.10(1.90) | ||
| 吸水 | 13.91(4.50) | - | |||
| 加熱重合型床用レジン | アクロン | 乾燥 | 12.10(2.32) | 1.09(0.63) | |
| 吸水 | 13.37(3.48) | 3.61(1.55) | |||
| 加熱重合型床用レジン (ヒートショック) |
クイックアクロン | 乾燥 | 12.30(1.08) | - | |
| 吸水 | 13.66(1.70) | ||||
| 加熱重合型硬質レジン | サーモレジン | 乾燥 | *5.39(1.08) | ||
| 吸水 | *8.55(0.96) | ||||
| ※ジーシー研究所測定データ。*印は被着体の凝集破壊。( )内数字は標準偏差。 ※試験方法:耐水研磨紙#1000により研磨(アルミナサンドブラスト処理)した各種レジン表面に各プライマーを塗布し、アクシスTクリアを接着させ、4-60℃サーマルサイクル2000回後に引っ張り試験を行った。 |
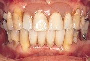
写真をクリックすると、それぞれの症例が表示されます。
| 症例1 | 症例2 | ||||||||
|
|
|
|||||||
症例3
|
症例4
|
症例5
|
まとめ
リペアーボンドIIの引っ張り接着強度実験では、臨床上期待できそうな数値結果がでている。しかし、データはあくまでもデータであって臨床の中でどうなるかは実際に使用してみない限りわからない。そこで、苛酷な条件であると思われたトラブルの起きた人工歯の修理に用いて経過観察をしている。まだ半年足らずしか経過していないため何も語ることはできないが、あえて現段階で評価をするならば、以前に行われていたあらゆる方法よりもきわめて高い接着効果を発揮していることは確かなようである。





