定員
Dr.40名
開催場所
関東・甲信越
ニチトシ生涯学習コード
2608(7)
参加登録料
友の会会員の方
・・・24,840円
友の会歯科医師会員のスタッフの方
・・・28,080円
友の会会員以外の方
・・・35,640円
概要説明
説明
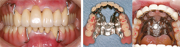
残存歯を守り、口腔内を整える欠損補綴を演習で学ぶ
備考
※受講料には、実習器材実費3,240円相当と昼食代を含みます。
セミナー内容
【レクチャー】 講義のほか、下記について実際の症例をもとにした設計線を引く演習を行います。 ◆ 単独欠損 ◆ 片側遊離端 ◆ 両側遊離端~大型症例~ ◆ すれ違い咬合の難症例 ◆ 前歯部欠損
お申込・お問い合わせ先
東京支店 TEL 03-3813-5751 FAX 03-3815-1513
フリースペース 1

藤関 雅嗣 先生
日常臨床で欠損歯列にパーシャルデンチャーを応用したが、患者さんから食べにくい、物が挟まるといった違和感や審美性が悪いなどの理由により、使用して頂けない状況を経験された方は少なくないはずです。さらに欠損歯列に於いては、一歯欠損から一歯残存まで、欠損形態は多様で、さらに欠損の原因となるカリエス、ペリオ、力、などの問題を含んだ、複雑な病態を示します。本セミナーでは少数歯欠損から多数歯欠損までさまざまな欠損形態の症例にたいして、欠損歯列の病態をどのように読んで、どの問題に着眼して優先順位をつけたのか、そしてそれらの診断を、義歯を設計して製作する欠損補綴にどのように反映させたのか、実際の経過症例から解説致します。また新しい試みとして、受講者のみなさんにも、初診時などの口腔内資料をもとに、実際に義歯設計をして頂きます。補綴設計では、回答は一つではありません。いかにして歯を守りながら快適な咀嚼機能を継続して維持していくのか。受講者みなさんが考えた設計とわたしの設計を供覧して解説を加えていきたいと考えています。この受講者参加型のより実践的なセミナーでパーシャルデンチャーの疑問を解決していただければと思っております。
講演者・講師
藤関 雅嗣 先生
対象者
歯科医師