GCロゴ

170年以上続く歯のホワイトニング
~過去から現在そして未来へ~

歯科医師監修

医療ホワイトニングコラム

医療ホワイトニングについて効果や
よくある質問などを全国の歯科医師・
歯科衛生士がわかりやすく解説します。

医療ホワイトニングコラムのイメージ画像 医療ホワイトニングコラムのイメージ画像

はじめに

皆さん、こんにちは。明海大学保健医療学部口腔保健学科(千葉県浦安市)で歯科保存学を担当している金子潤と申します。同じ浦安キャンパス内にある明海大学PDI浦安歯科診療所にて歯科診療も行っています。

私は1991年に北海道大学歯学部を卒業し、同大学の大学院に進みました。大学院での研究テーマは「歯の漂白」でしたが、1991年当時まだ「ホワイトニング」という言葉が定着しておらず(当時は「ブリーチング」と呼ばれていました)、わが国で入手できるホワイトニングの薬剤も皆無で、アメリカでやっと何とか使えるレベルの薬剤が発売されたという状況でした。あれから30年以上が経過した現在では、歯のホワイトニングは幅広い年代の方が興味を持つ分野に成長したと実感しています。今回は、ホワイトニングの歴史から新しい知見まで、本コラムで楽しくお伝えできればと思い執筆することにいたしました。どうぞよろしくお願いします。

2ペリー提督の驚愕~1853年~

それは江戸時代末期、いわゆる「幕末」に足を踏み入れたころのお話しです。

1853年、江戸湾(現在の東京湾)浦賀沖に黒船4隻が来航し、わが国に上陸したアメリカ合衆国海軍東インド艦隊のマシュー・ペリー提督(Matthew C. Perry:1794~1858)は、日本人女性の「お歯黒(おはぐろ)」に大いなる嫌悪感を抱きました。彼の日記には「とくに紅で唇を染めることでさらに歯の黒さが際立ち、腐蝕性で衛生的でもなく、夫婦間の幸福を導くことはほとんどないだろう」と書き留められています。現代人にとって白く輝く歯は美しさの象徴ですが、明治時代初頭までのわが国では歯を黒く染めるお歯黒が美しいとされ、既婚女性の化粧に欠かせないものでした。ちなみに、お歯黒の主成分は酢酸に鉄を溶かした茶褐色・悪臭の鉄漿水(かねみず)で、これを楊枝で歯に塗り、タンニンを約60%含む五倍子粉(ふしこ)を上塗りします。これを交互に繰り返すことで酢酸第一鉄とタンニン酸が結合してタンニン酸第二鉄となり歯の表面(エナメル質)に黒く付着するのです。お歯黒は歯並びの悪さや歯の変色を目立たなくすることができ、その成分(鉄イオンやタンニン)によって無機質および有機質の両面から歯質を強化し、歯面を緻密な膜で覆い保護することでむし歯予防の効果も発揮したとされています。以上のような効能・効果はさておき、ペリー提督の後に続々と来日した外国人、イギリス公使ラザフォード・オールコック(1859年来日)、イギリス外交官アーネスト・サトウ(1862年来日)、フランス海軍士官エドゥアルド・スエンソン(1866年来日)らも、「醜さとしては比類ないほど抜きん出ている」「気持ちの悪い口の中を見せられるたびに思わず後ずさり」など、お歯黒について辛辣な記録を残しています。

一方、ペリー提督の母国アメリカでは、この当時すでに歯科医院で歯の漂白治療が行われていました。1850年発行のアメリカの歯科雑誌の中で、DwinelleやWestcottらが塩素系漂白剤であるさらし粉や次亜塩素酸ナトリウムによる失活歯(すでに神経を取った歯)の漂白法について述べています。ここでDwinelleは、「この近隣(ニューヨーク)では自分が最初に歯の漂白を行った」と述べているのが特筆されます。というのは、この文献以前に臨床で薬剤による化学的な歯の漂白を試みた記録が見つからないため、文献上は世界初の歯のホワイトニング治療と考えられるからです。ちょうどわが国に黒船4隻が来航し、ペリー提督が日本女性のお歯黒に驚愕していた頃、アメリカ・ニューヨークでは患者の黒変した歯をいかにして白く「ホワイトニング」するか、という議論が熱く交わされていたのです。

歯のホワイトニング治療について書かれた最も古い文献(1850年)
歯のホワイトニング治療について書かれた最も古い文献(1850年)

その後、1800年代後半から1900年代前半にかけて、さまざまな薬剤を用いた歯の漂白法が発表されましたが、1963年にNuttingとPoeが30%過酸化水素水と過ホウ酸ナトリウムという成分をペースト状にして歯髄腔(歯の神経が入っていた空洞)の中に貼付する術式を確立しました。この方法はウォーキングブリーチ法と呼ばれ、半世紀以上を経た今日でも失活歯漂白法の基本とされています。

術前(ウォーキングブリーチ前)
術前(ウォーキングブリーチ前)
術中(歯の神経が入っていた空洞に薬剤を封入)
術中(歯の神経が入っていた空洞に薬剤を封入)
術後(ウォーキングブリーチ後)
術後(ウォーキングブリーチ後)

3初期の生活歯ホワイトニング~1980年代まで~

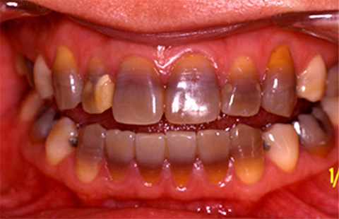
1910年代に歯のフッ素症がはじめて報告されて以来、生活歯(神経が生きている歯)に出現する白色や橙褐色の斑点により前歯の審美性に悩みを持つ患者が出てきました。また、1950年代から出現したテトラサイクリン系抗菌薬服用による変色歯は、フッ素症歯以上に審美性を損ねる原因となりました。1963年に米国FDA(日本の厚生労働省に似た役割を持つ政府機関)がテトラサイクリン系抗菌薬を妊産婦や乳幼児に服用させることに警告を発したにもかかわらず、1970~80年代にかけて変色歯を持つ患者さんが急増しました。

テトラサイクリン系抗菌薬服用による変色歯の例 テトラサイクリン系抗菌薬服用による変色歯の例
テトラサイクリン系抗菌薬服用による変色歯の例

これらの変色歯に対して歯科医院では、30%過酸化水素水をガーゼにしみ込ませて歯の表面に置き、強力なライトを照射する生活歯の漂白法が行われていました。しかし、十分な治療効果を得ることが難しく、やむを得ず歯を削って白い冠を被せるなどの治療法が選択される傾向にありました。

薬剤をしみ込ませたガーゼを歯の表面に置いた状態
薬剤をしみ込ませたガーゼを歯の表面に置いた状態
強力なライトを照らしている状態
強力なライトを照らしている状態

4現代ホワイトニングの発展~1989年から~

現代ホワイトニングの幕開けは1989年に訪れました。1960年代に偶然から発見された10%過酸化尿素の漂白効果を利用し、1989年にHaywoodとHeymannがこの成分をナイトガードに入れて用いるホームホワイトニングという方法を発表、世界初のホームホワイトニング剤として製品化されたのです。2年後の1991年にはFriedmanによってオフィスホワイトニング用としての初めて製品も発売され、患者および術者の負担が一気に軽減しました。

この頃からホワイトニングの術式は二つの大きな流れに分かれていくことになります。すなわち、歯科診療室で高濃度の過酸化水素を用いて迅速に漂白を行う「オフィスホワイトニング」と、患者さんがカスタムトレーと比較的マイルドな漂白剤(10%過酸化尿素など)を持ち帰って自宅でじっくりと行う「ホームホワイトニング」です。このように、1989年は歯のホワイトニングにとって大きな分岐点となる瞬間でした。その後、1990年代から2000年代にかけて、ホワイトニング剤の成分や性状の改良、操作性の改善、ホワイトニング用ライトの開発などが進み、各メーカーからさまざまな製品が市販されるようになりました。

オフィスホワイトニング・ホームホワイトニングの例 オフィスホワイトニング・ホームホワイトニングの例
オフィスホワイトニング・ホームホワイトニングの例

5わが国での歯のホワイトニングの幕開け~1990年代~

さて、ここで日本国内に目を向けてみましょう。わが国で歯のホワイトニングが注目され始めたのは1990年代中ごろからでしたが、海外で発売が開始されていたホワイトニング製品はまだ国内で認可されていませんでした。そのため、わが国では依然として旧式の生活歯漂白法が一部の歯科医師により細々と行われている状況でした。当時の方法は、初めに強い酸で歯面をわずかに脱灰してから酸性の高濃度過酸化水素水を作用させる術式だったため、「歯を溶かす」「歯を弱くする」「歯がもろくなる」などの悪い影響があると考えられていました。このイメージは患者さんのみならず歯科医師の間でも広がっていたのです。

そのような中で、1994年に海外ですでに発売されていたホワイトニング製品の治験がスタートし、1998年に初のオフィスホワイトニング剤が、2001年には初のホームホワイトニング剤が国内で発売されました。これでやっとわが国でもオフィスとホームの両輪が揃ったことになりますが、ホワイトニング治療の分野は海外と比べると約10年の遅れをとっていることは否定できませんでした。

6歯に優しいホワイトニング薬剤の開発~2000年代~

2000年代に入ると、わが国でも歯のホワイトニングを行う歯科医院が増加していきます。その理由として、歯質への影響を考慮した中性や弱アルカリ性のホワイトニング剤、光触媒を利用したホワイトニング剤の開発などにより、治療効果が徐々に安定してきたことがあげられます。また、ホワイトニングによって歯がわずかに脱灰(表面のミネラル成分の流出)しても、唾液による再石灰化(失われたミネラル成分が再び歯の表面に戻ること)で元どおり修復されることもわかってきました。

芸能人やモデル、海外で仕事をする方などを中心にホワイトニング治療が認知され、一般の方々にも徐々に普及していきました。また、ホワイトニングによりきれいな口元を手に入れることで自信が生まれ、歯を大切にする意識が高まるという事実も知られるようになりました。マスコミによる宣伝効果も加わって、「ブリーチング」よりも洗練された感のある「ホワイトニング」という呼び名に変わり瞬く間に浸透しました。

7ホワイトニングと歯の健康に関する研究の進展~2010年前後~

ホワイトニング直後の歯の表面は、有機成分が除去されて反応性が高い状態になっています。このため、ジュースやワインなど酸性の飲食物、コーヒーやカレーなど着色しやすい飲食物の摂取をある程度制限する必要があります。一方で、この状況を利用してむし歯予防の面から歯の健康を増進できないかという研究が進みました。以下にわが国における代表的な研究成果をご紹介します。

  • オフィスホワイトニング後にフッ化物を作用させた場合、通常よりもフッ化物が取り込まれやすく、エナメル質の耐酸性が向上する。(2007年)
  • オフィスホワイトニング後にわずかに脱灰したエナメル質は唾液により速やかに再石灰化し、ホワイトニング前よりも安定したアパタイトの沈着が認められる。(2009年)
  • オフィスホワイトニングは、初期う蝕における再石灰化を阻害する唾液タンパク質を変成・除去させる効果が期待できる。ホワイトニングにより初期う蝕の再石灰化を促進する可能性がある。(2012年)
  • ホームホワイトニング剤の過酸化尿素は、う蝕原因菌に対して顕著な殺菌効果があり、プラークの形成を阻害する効果もある。(2012年)
  • フッ化物配合のホームホワイトニング剤でホワイトニングを行うと、ホワイトニングを行わない場合よりもエナメル質の耐酸性が向上する。(2014年)

※う蝕(うしょく):むし歯の正式な傷病名。むし歯菌の作る酸によって歯が溶かされる疾患。

8「医療ホワイトニング」によりお口の健康を提案する時代~2020年代から~

わが国でホワイトニングという言葉が広く使われるようになり、歯科医院で行う歯のホワイトニングと、歯磨剤やエステサロンが広告するホワイトニングとの区別がつきにくい時代になりました。そこで、歯科医療機関で歯科医師の検査・診断の結果に基づいて、歯科医師・歯科衛生士が国によって製造・販売が認められている薬剤(医療機器)を用いて行うホワイトニングを「医療ホワイトニング」と呼び、区別するようになってきました。現在わが国で認可されている医療ホワイトニングの薬剤は、オフィスホワイトニングは5製品、ホームホワイトニングでは7種類8製品となっています(2024年1月現在)。これらの製品は、いずれも安全性と有効性が国によって認められていることを意味しています。

また、「医療ホワイトニング」を体験した方は、歯が白く美しくなるだけでなく、前述の通りお口のケアへの関心が高まるため、歯科医院との距離感も縮まる傾向があります。このような意識変化と行動変容は、お口の変化に気づきやすくなり、むし歯や歯周病を予防することにも繋がると考えられます。

9おわりに

今回は、歯のホワイトニングの歴史に焦点を当てて、現在のホワイトニングの状況、そして未来につながるお話しをいくつかご紹介いたしました。

「医療ホワイトニング」の安全性と有効性は、患者さんが歯科医師・歯科衛生士の指導を十分に理解して実施することで発揮されます。しかし、たとえばホワイトニング直後にジュースやワインなど酸性度が高い飲食物を摂取すると、エナメル質が脱灰するリスクを高めることになりますし、カレーなど色の濃い飲食物の摂取はホワイトニング速度を遅くする原因となりえます。一方、ホワイトニング直後にフッ化物(フッ化ナトリウムなど)を効果的に作用させることで歯の健康に繋げることが可能です。このように、患者さんと歯科医師・歯科衛生士との相互理解と信頼関係がホワイトニング効果を高める大きな要因となります。これから「医療ホワイトニング」を受けようとお考えの方は、ぜひ歯科医院・歯科大学病院などで十分な説明を受け、納得された上で行うようにしていただきたいと思います。

  • 金子 潤 先生

    明海大学保健医療学部口腔保健学科 教授

    明海大学PDI浦安歯科診療所 歯科医師

    金子 潤先生

  • 資格・所属学会

    日本歯科保存学会 専門医

    日本歯科審美学会 常任理事・認定医

    日本歯科色彩学会 常任理事・認定医

    美容口腔管理学会 会長・指導医Diplomate

    日本接着歯学会 会員

    日本歯科理工学会 会員

    日本歯内療法学会 会員

    略歴

    1991年

    北海道大学歯学部 卒業

    1995年

    北海道大学大学院歯学研究科 修了(博士(歯学))

    1995年

    北海道大学歯学部附属病院第一保存科 医員

    1997年

    北海道大学歯学部歯科保存学第一講座 助手

    2000年

    明倫短期大学歯科衛生士学科 助教授

    2005年

    明倫短期大学歯科衛生士学科 教授

    2013年

    千葉県立保健医療大学健康科学部歯科衛生学科 准教授

    2021年

    明海大学保健医療学部口腔保健学科 教授