歯の黄ばみが気になる、ホワイトニングに興味がある皆さんへ
歯科医院で行うホワイトニングとその他のホワイトニングの違いについて紹介しています。
歯科医院で行うホワイトニングとその他のホワイトニングの違いについて紹介しています。
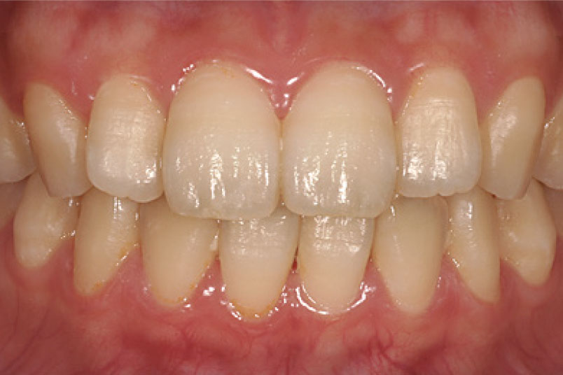
コーヒー・お茶・タバコ等に
含まれる色素
体質や生まれつき
加齢
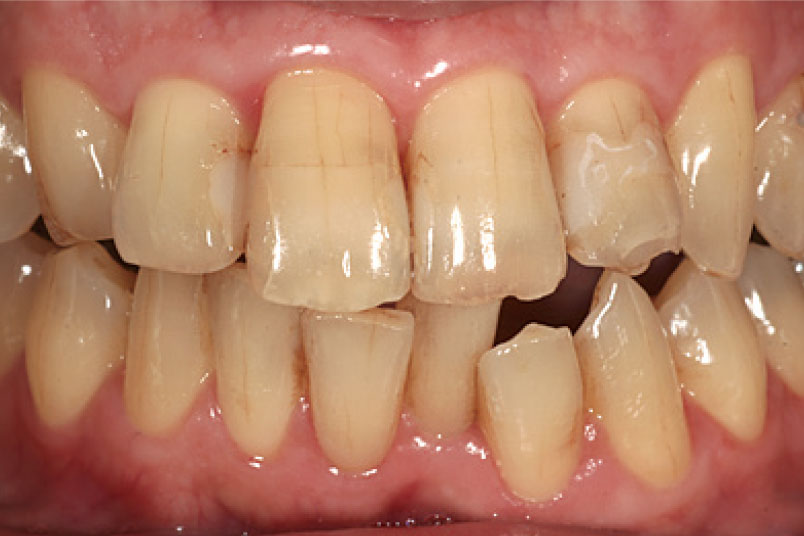
ホワイトニングには歯科医院で行う「医療ホワイトニング」と歯科医院以外で行うホワイトニングがあります。
医療ホワイトニングにはオフィスホワイトニングとホームホワイトニングがあります。
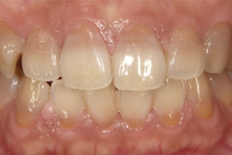
ホワイトニングができないケースや、アフターケアについてご紹介します。
医療ホワイトニングについて学べる歯科医師監修コラムです。
2025.06.27
第8回コラムを更新しました。 「医療ホワイトニングで用いる『医療機器』とは?」2023.09.05
第2回コラムを更新しました。 「ホワイトニングの色戻りとタッチアップ」2023.08.10
医療ホワイトニング.jp ホームページをオープンしました。