歯を白くする方法の違い~医療ホワイトニングと
セルフホワイトニングの違いについて~
INDEX
1▶
2▶
-
-
a+b.
5▶
6 ▶
歯を白くする方法の違い~医療ホワイトニングと
セルフホワイトニングの違いについて~
INDEX
1▶
2▶
a+b.
5▶
6 ▶
皆さん、こんにちは。愛知県で歯科医院を開業している須崎です。歯科医師という職業柄「毎日歯磨きしているのに歯の黄ばみが取れない」「清潔感がある白い歯になるには何に気を付ければよいですか」といった相談をいただく事があります。WEB会議やSNSなどが普及し、顔の印象の大切さを再確認する機会が増えてきたことも影響しているかもしれません。以前は女性の患者さんから相談されることが多かった歯のホワイトニングについて、最近は男性の患者さんからも聞かれるようになりました。
また、エステサロンや、美容院、街角のホワイトニング専門店などで「セルフホワイトニング(サロンホワイトニング)」というサービスを提供するお店も増えています。こちらと歯科医療機関が行うホワイトニング治療は何が違うのか、という質問も頂くようになりましたが、実は患者さんだけでなく同業の歯科医師や歯科衛生士の間でも話題にあがることがあります。
その他にも、WEB広告やSNS広告で「歯の汚れがゴッソリ取れた」「黄ばみが落ちて真っ白になった」といった写真付きの歯みがき粉の広告を目にする機会もあり、歯を白くする方法の多様化を感じています。今回は歯を白くする方法の種類や手順、さらに効果を長持ちさせる方法など、身近な患者さんによく聞かれる質問を中心にご紹介し、皆さんがホワイトニングで後悔しないための情報をお伝えできればと思います。
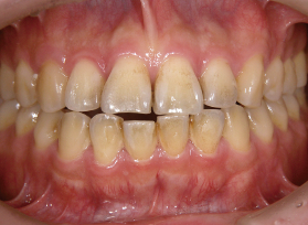
歯の色が黄ばむ原因には、いくつかの種類があります。よく目にするのは着色汚れ(ステイン)で、コーヒーや茶渋、カレーなどの色の濃い飲食物の色素やタバコのヤニが歯の表面に付着して黄ばんだ状態になります。また、加齢でも歯の色が濃くなります。これは歯の構造が徐々に変化し、透明感や色味が変わるためです。他にも、生まれつきの体質や内服薬の影響で歯が黄色や茶色、灰色になっている方もいらっしゃいます。
国民1万人に対して行われたある調査では「歯を白くすることに対して興味がありますか」という質問に対して約7割の方が「興味がある」と回答しました。

ジーシー調べ 2022/6 インターネット調査18~69歳 10,000名
また、歯科医院で行う「ホワイトニング」と、サロンや美容室、自宅で行われている非医療系の「ホワイトニング」との区別ができない方が8割いらっしゃることもわかりました。

ジーシー調べ 2022/6 インターネット調査18~69歳 8,700名
そこで本コラムでは歯科医療機関で行うホワイトニングを「医療ホワイトニング」、サロンなど非医療系の施設が提供するホワイトニングを「セルフホワイトニング」として、その違いを説明します。
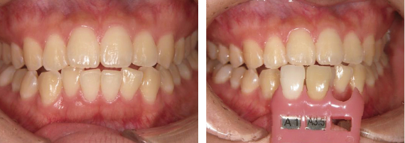
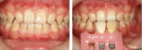
歯科医師が診査、診断、インフォームドコンセントを行い、医療機器を用いる医療行為としてのホワイトニングです。歯科医師、または歯科医師の指示のもと歯科衛生士が適切に管理された手順で行うため、安全性も重視した施術として提供されます。医療ホワイトニングに使われる薬剤有効成分は、歯の表面についたステインだけでなく歯の内側の色素にも作用するため、歯を内側まで白くします。医療ホワイトニング材は、歯に悪い影響があるのではないかと心配される方もいらっしゃるかもしれません。しかし2000年代からは、中性に近い約pH6の薬剤が医療機器として認可され、歯を刺激せずに色素を分解できる製品で医療ホワイトニングが行われるようになってきています。
[医療ホワイトニング前]


[医療ホワイトニング後]


ただし、医療ホワイトニングにも対応できないケースがあります。(詳細はこちらをご覧ください)
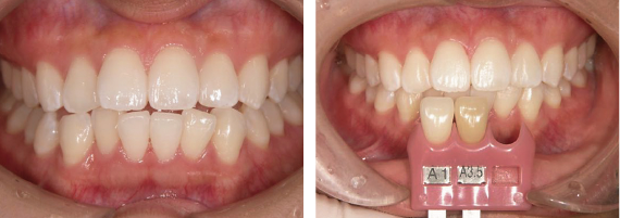
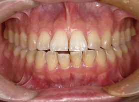
希望者自身が、歯の外側の着色汚れを除去するホワイトニングです。歯の外側の着色汚れが取れるので本来の色に戻りますが、より白くするための有効成分を配合することは法律上できません。また使用する機材や成分についてのルールも無く、歯に塗る溶液も「化粧品」や「歯磨き粉」「独自に調合した液」など様々です。
[非医療ホワイトニング前]


[非医療ホワイトニング後]

※3.化粧品や歯磨き粉などで
歯の表面の着色を除去するホワイトニング
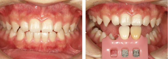
値段は1回あたり3,000から5,000円が相場のようです。お店によっては3回や10回など複数回のコースや、サブスクリプション利用プランをすすめる場合があり「5万円の回数券を提案された」と患者さんから相談されたこともありました。
このように、セルフホワイトニングは提供内容だけでなく法律的な基準、スタッフの専門性など多くの点で歯科医院が提供する医療ホワイトニングとは異なるサービスであると言えます。
歯自体の黄ばみを白くしたい方は、まずは歯科医療機関で医療ホワイトニングの相談をされることをおすすめします。もしもご自身で歯の表面の汚れを取りたいという場合は、セルフホワイトニングを行うことや、歯の外側の着色汚れを除去する歯みがき粉を使用することで解決できるかもしれません。
ここからは、歯自体の黄ばみを白くしたいという方向けに、医療ホワイトニングの方法についてお伝えしますが、その前に1つ注意点があります。それは「白い歯」のイメージについてです。一部の芸能人やスポーツ選手、海外セレブの方の中には「真っ白」な歯が印象的な方がいらっしゃいます。この様な「真っ白な歯」は歯を削らない「医療ホワイトニング」ではなく、歯を削った上に被せたり、つけたりする「セラミック・クラウン」「ラミネート・べニア」「ジルコニア・クラウン」といったセラミック治療が選択されている可能性が考えられます。医療ホワイトニングは一般的に「自然な白さ」に仕上がり健康な歯を削りません。もしもこの様な「真っ白」を求める場合は、歯科医師は歯を削り、セラミックスなどをかぶせる治療方法を提案する可能性がある事をご承知おきください。
歯科医院で薬剤を塗り白くする方法です。短時間で歯を白くすることができます。専用の光を当てる方法の場合は1時間から2時間の予約1回で終了します。
【メリット】
短時間で歯を白くできる。
歯科医院で管理のもと行うため、安全性が高い。
【デメリット】
歯科医院に滞在する時間が長い。
【おすすめする患者さん】
結婚式や同窓会、講演会などに向けて、急いで白くしたい方。
歯科医院に任せて、安心して治療を受けたい方。
ホームホワイトニングができない方(歯並びや顎の状態などが原因でマウスピースが作れない等)。
オフィスホワイトニングの流れ(イメージ)
![[オフィスホワイトニング前]](/japan/whitening/img/colmn/ichi.png)
[オフィスホワイトニング前]
色のガイドを使って歯の色を確認します。
![[オフィスホワイトニング中]](/japan/whitening/img/colmn/ni.png)
[オフィスホワイトニング中]
歯肉を保護してから
ホワイトニングの薬剤を
塗布します。
![[オフィスホワイトニング後]](/japan/whitening/img/colmn/san.png)
[オフィスホワイトニング後]
ホワイトニング前の色と
比較します。
薬剤を入れる専用マウスピースを歯科医院で作り、歯を白くしていく方法です。毎日2時間、14回の装着など使い方の指導の通りに行います。
【メリット】
自分の好きなタイミングで行える。
【デメリット】
1日2時間程度、起きている時間にマウスピースを装着する必要がある。
マウスピースを着け忘れると、白くならない。
【オススメな患者さん】
テレビを見ながら、通勤中など、毎日きちんとマウスピースを着ける時間が取れる方。
マウスピースの清掃や保管が面倒ではない方。
ホームホワイトニングの流れ(イメージ)
![[オフィスホワイトニング前]](/japan/whitening/img/colmn/ichi2.png)
[ホームホワイトニング前]
色のガイドを使って
歯の色を確認します。
![[オフィスホワイトニング中]](/japan/whitening/img/colmn/ni2.png)
[ホームホワイトニング中]
ホワイトニングの薬剤を
マウスピースの中に入れ、
装着します。
![[ホームホワイトニング2週間後]](/japan/whitening/img/colmn/san2.png)
[ホームホワイトニング2週間後]
ホワイトニング前の色と
比較します。
オフィスホワイトニングとホームホワイトニングを併用して行う方法です。効果が早く得られ、より白くしたい方におすすめです。2つの方法を組合せるので、短時間でより白くなります。当院では、オフィスホワイトニングを先に行い、その日からホームホワイトニングを実施することをおすすめしています。
歯の質や変色の原因などの違いにより効果には個人差があります。このため、希望の色まで改善できるかは保証できない場合が多いです。しかし、多くの方には良好な結果が得られる治療法ですので、事前にしっかりと歯科医師に相談されることをおすすめします。ちなみに、歯の色が黄色っぽい方は灰色っぽい方よりも白くなりやすい傾向があります。また若い方は、高齢の方よりも早く白くなる傾向があります。
「いつまでに」「どのくらい」白くしたいのか、ホワイトニングの目的やゴールについて差し支えない範囲でお伝えいただくと、歯科医院側も結果のイメージを説明しやすくなります。このように治療内容について事前しっかり確認しておくことをおすすめします。
歯の状態や体質、薬剤の種類や使用方法などによって、一時的に歯がしみる知覚過敏(痛み)を感じる場合があります。原因は様々ですが、ほとんどは徐々におさまります。一般的にはオフィスホワイトニングは24時間以内、ホームホワイトニングは4時間以内で消失することが多いと言われています。このように痛んでも一時的であることがほとんどですが、しみる感じがおさまらない場合は歯科医院へご相談されることをおすすめします。
歯科医師がお口の状態を診査してから診断します。また、以下のどれかに当てはまる場合は、医療ホワイトニングは対応できないケースとなります。
無カタラーゼ症の方
妊娠中、授乳中の女性
小児・乳歯
歯科治療で用いる材料にアレルギーのある方
歯科医師が事前に別の治療が必要と診断した場合 など
オフィスホワイトニング、ホームホワイトニングの具体的な方法については、こちらをご覧下さい。
薬剤の浸透を良くするため医療機器を使ったクリーニングを行うため、ホワイトニング後24時間は歯の表面の保護膜(ペリクル)が薄くなっています。そのため、色の濃い飲み物や食べ物(コーヒー、カレー、赤ワイン等)、酸性度の高い飲食(炭酸飲料、ワイン、トマト等)、喫煙を控えていただくことをおすすめします。
医療ホワイトニングで得られた白さは永久では無く、ゆっくりと色戻りします。そのスピードには半年から数年と個人差がありますが「タッチアップ」という再ホワイトニングを行うことで好みの白さを保つことができます。また、タッチアップは初めてホワイトニングをした場合に比べ、早く、短期間で白くなる場合が多いです。
ご自身のお口のケアが良好な方、定期的に歯科医療機関でのクリーニング受けている方は、白さを維持できる期間が長くなる傾向があります。ホワイトニング効果のある歯磨き粉を使うと、着色汚れが落ちるので白さが長持ちします。
歯の外側の着色汚れを除去する歯みがき粉は「ホワイトニング効果のある歯みがき粉」「美白系歯みがき粉」などと宣伝され販売されています。このような歯みがき粉を使うこともセルフホワイトニングの一種と言えますが、医療ホワイトニングのように歯の内側まで白くする効果はありません。
歯磨き粉のホワイトニング効果は製品により異なり、頑固なヤニも落とせる粗い研磨剤を配合した強めのものから、ステインが付きにくくなる成分を配合した弱めのものまで様々です。歯科医院では、歯を傷つけにくい設計の歯みがき粉を選んでいることが多いので、機会があれば相談してみてもよいかもしれません。
医療ホワイトニングを検討している患者さんの中には、美白系歯みがき粉を使った時点で満足される方もいらっしゃいます。またホワイトニングを受けた後の効果を長持ちさせたい方や、セルフホワイトニングに通う代わりに使っている方もいらっしゃいます。
歯磨き粉によっては、効果的な使用方法を守った使い方をすることで効果を発揮する製品もあります。例えば、ルシェロ 歯みがきペースト ホワイト(ルシェロホワイト)という歯科医院専売品の歯磨き粉はステインをアルカリ性の成分が浮かせて落とす仕組みです。このような製品のポイントは、乾いた歯ブラシにたっぷりとペーストをのせ、着色汚れが気になる部分にペーストが行き渡るようにして磨き始めることです。
ルシェロ 歯みがきペースト ホワイト(ルシェロホワイト)使用方法

[ルシェロホワイト使用前]
![[使用方法]ブラシにたっぷりとのせる前歯から磨く](/japan/whitening/img/colmn/ni3.png)
[使用方法]歯ブラシにたっぷりとのせ、着色汚れの気になる部分から磨く![]()
![[ルシェロホワイト使用後]](/japan/whitening/img/colmn/san3.png)
[ルシェロホワイト使用後]
ルシェロ 歯みがきペースト ホワイト(ジーシー社 患者希望価格:1,980円(税込))(2023/7/30時点)
今回は、医療ホワイトニングとセルフホワイトニングの違いについて解説しました。
歯の色や黄ばみを気にしている方は、若い女性だけでなく、男性や高齢者にも多くいらっしゃいます。興味がある方、悩んでいる方はまずは歯医者さんに相談してみてください。皆さんが自分に合うホワイトニング治療の方法を見つけ、素敵な笑顔を手に入れることを願っています。
医療法人ジニア
ぱんだ歯科 理事長
須崎 明先生
資格・所属学会
日本歯科審美学会会員
日本歯科保存学会認定医
日本レーザー歯学会専門医・指導医 他多数
略歴
1996年
愛知学院大学歯学部歯学科 卒業
2000年
愛知学院大学大学院歯学研究科修了 学位取得
2002年
愛知学院大学歯学部保存修復学講座 講師
2003年
モンゴル国立健康科学大学 客員准教授
2005年
愛知学院大学歯学部保存修復学講座 非常勤講師
ぱんだ歯科 開業
2018年
医療法人ジニア ぱんだ歯科 理事長