医療ホワイトニングには
オフィスホワイトニングとホームホワイトニング
があります。使用するホワイトニングジェルは異なるジェルを使います。
| 手法 |
歯科医療機関で行う
オフィスホワイトニング
|
|---|---|
| 時間 |
施術時間=1~2時間
1回の施術で歯を白くする
|
| 方法 |
ホワイトニング材を塗り、光を照射して
ホワイトニング効果を促進させる |
| メリット |
1回で効果が得られる
時間が無い方に最適(例:結婚式を間近に控えている方など)
|
| デメリット | ホームホワイトニングよりも白さが長持ちしにくい |
| 手法 |
ご自宅などで行う
ホームホワイトニング
|
|---|---|
| 時間 |
1日1~2時間
ご自宅などで10~14回、徐々に歯を白くしていく
※使用製品により使用時間や回数が異なります。
|
| 方法 |
歯にフィットするあなた専用のマウストレーに、 ホワイトニングジェルを入れて装着する |
| メリット |
時間をかけることでホワイトニング効果が高い
オフィスホワイトニングよりも白さが長持ちする
|
| デメリット | 効果を得るまでに時間がかかる |

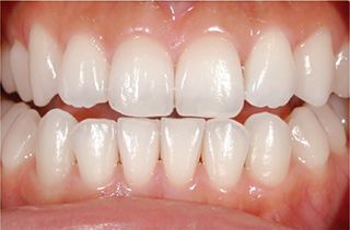
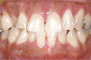
歯科医療機関で
オフィスホワイトニング
-
オフィスホワイトニング前 -
光照射 -
オフィスホワイトニング後
臨床写真提供:須崎 明先生
(医療法人ジニア ぱんだ歯科 理事長)

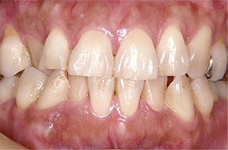
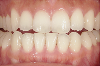
ご自宅などで
ホームホワイトニング
-
ホームホワイトニング前 -
マウストレー装着 -
ホームホワイトニング後
臨床写真提供:金子 潤先生
(明海大学保健医療学部口腔保健学科 教授)
歯科医院でその日のうちにホワイトニング効果 が得られる 「オフィスホワイトニング」
オフィスホワイトニングのステップ
-
1歯のクリーニング
効果的なホワイトニングのために歯の表面のクリーニングを行います。
-
2歯肉の保護
ホワイトニングジェルが歯肉に触れないように保護します。
-
3ホワイトニングジェルの塗布
歯の表面にホワイトニングジェルを塗布します。
-
4光を照射
ホワイトニングジェルの上から光を照射します。
-
5仕上げ
歯肉の保護を外し、歯面のホワイトニングジェルを落とします。
ご自宅でマウスピースにホワイトニングジェルを入れ、決められた時間、
継続的に装着しホワイトニング効果を得る「ホームホワイトニング」
ホームホワイトニングのステップ
歯科医院で
-
1歯のクリーニング
効果的なホワイトニングのために歯の表面のクリーニングを行います。
-
2マウストレーの製作
歯の型をとり、ホワイトニングジェルを注入するマウストレーを製作します。完成したマウストレーとホワイトニングジェルをお持ち帰りいただきます。
ご自宅で
-
3ブラッシング
効果的なホワイトニングのために、
歯面のブラッシングを行います。 -
4ホワイトニングジェルの注入
マウストレーへ1歯あたり米粒2つ分を目安に、ホワイトニングジェルを注入します。
-
5マウストレーの装着
装着時にトレーからホワイトニングジェルがあふれ出た場合はすぐに拭き取ってください。
使用中に痛み等の異常を感じた場合は、直ちに使用を中止し、歯科医師に相談してください。
-
6ブラッシング&マウストレーの洗浄
ホワイトニング後は、ブラッシングで歯面に残ったジェルを落とし、マウストレーは歯ブラシ等で洗浄します。
マウストレーの洗浄は、変形の恐れがあるため、温水では行わないで下さい。
汚れ・におい・ヌメリが気になる際は、マウストレー用の洗浄剤(ホイップクレンズ等)をご使用ください。ホイップクレンズの詳細はこちら
歯科医院で
-
7経過の確認
歯科医院でホワイトニング効果を確認します。
ご注意
ホームホワイトニングの操作ステップはお使いになるホームホワイトニング材により異なりますので、歯科医院の指示に従って操作してください。また、お使いになるホワイトニング材の説明書をご確認ください。