※こちらの項目以外にも、歯科医師による診査・診断により医療ホワイトニングができない場合があります。
無カタラーゼ症の方【オフィスホワイトニング】
気管支喘息など呼吸器疾患医療ホワイトニングの効果には個人差があります。 多くの方には良好な結果が得られますが、歯の質、変色の原因などの違いにより、その効果には個人差があります。 また、医療ホワイトニング後は徐々に元の歯の色に戻ります。
ホワイトニング後24時間以内は色の濃い飲み物・食べ物(コーヒー・カレー・赤ワイン等)、酸性度の高い飲み物・食べ物(炭酸飲料等)、喫煙は控えていただくことをおすすめしています。
継続して行うことで次第に目立たなくなります。


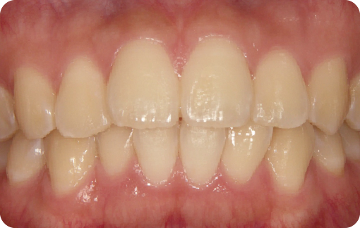
ホワイトニング後に詰め物の処置をすることで目立ちにくくなります。
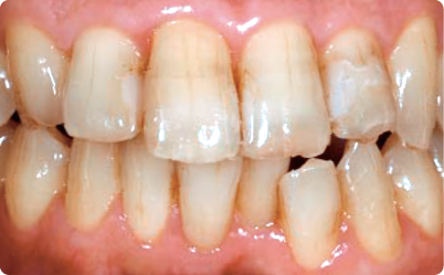
ホワイトニング前
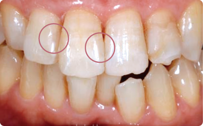
ホワイトニング後
詰め物の色は変わりません
処置後
詰め物の処置をすることで
目立ちにくくなります
ホワイトニング中もしくはホワイトニング後に知覚過敏症状がおきることがあります。症状のほとんどは一時的なものですが、症状がおさまらない場合は、歯科医院へご相談ください。
症状のほとんどは
徐々に消失します!
オフィス
ホワイトニング
24時間
以内
ホーム
ホワイトニング
4時間
以内

泡の洗浄剤
香り● ミント
内容量● 180mL(約240プッシュ)
包装● 1本
・60秒で99.9%除菌(すべての菌に効果があるわけではありません)
・汚れに密着するきめ細かく垂れにくいホイップ泡
・研磨剤無配合でマウストレーを傷つけにくい
・洗浄後すっきり!ミントの香り

マウスピース・入れ歯用洗浄剤
香り● ミント
液性● 弱アルカリ性
内容量● 48錠
包装● 1函
・5分の浸けおきで99.99%除菌(すべての菌に効果があるわけではありません)
・酵素の力でタンパク汚れを分解し、漂白洗浄成分が着色汚れをしっかり洗浄
・洗浄後すっきり!ミントの香り
口腔内装置に泡をのせる。
※必要に応じて量を調整してください
やわらかいブラシで60秒を目安に全体を磨く。
流水でしっかりすすぐ。
専用ブラシで目に見える汚れを落とす。
150~200mLのぬるま湯または水に1錠入れる。
口腔内装置を5分浸漬する。
浸漬後は流水でよくすすぐ。

マウスピース・入れ歯用ブラシ
ステインを落としやすくする歯磨き粉(ルシェロ歯みがきペースト ホワイトシリーズなど)の使用は、ホワイトニング後の白さを長持ちさせます。
医薬部外品
薬用歯みがき類
ルシェロ歯みがきペースト
ホワイトプレミアムケア
内容量●100g
包装●1函:1本
医薬部外品
薬用歯みがき類
ルシェロ
歯みがきペースト ホワイト
内容量●100g
包装●1函:1本
着色汚れが気になる方
タバコの「やに」が沈着している方
白さを持続したい方(ホワイトニング後、
歯科医院でのクリーニング後)
輝く白い歯で、笑顔に自信を持ちたい方

3つの力で歯を白く
弱アルカリ性
着色汚れを浮かす
歯の表面に付着した
着色汚れを落としやすく
します。
Lime粒子®
着色汚れを
やさしく落とす
Lime粒子®:
炭酸カルシウム(清掃剤)
高濃度に配合した
Lime粒子®(清掃剤)と
ブラッシングで着色汚れを
やさしく落とします。
PEG400
タバコのやにを
落とす
薬用成分の
「ポリエチレングリコール(PEG)400」が
タバコのやにを溶解除去します。
2つの薬用成分で歯を守る
フッ素
1450ppm
再石灰化を促進し
むし歯の発生と
進行を予防します。
乳酸
アルミニウム
象牙細管を封鎖することで
知覚過敏症状を防ぎます。

フッ素が再石灰化を促進
薬用成分「モノフルオロリン酸ナトリウム(フッ素)」950ppmがむし歯の発生と進行を予防します。
歯が白くなるメカニズム
効果的な使い方
●歯ブラシの選び方
●ブラッシング前
●ブラッシング時
~毎日のブラッシングでも美白体験を~


※写真は製品の効果を保証するものではありません。
ルシェロ歯みがきペースト ホワイトシリーズは歯科医院専売品です。