GCロゴ

歯の色で悩む皆さんへお伝えしたい医療ホワイトニング
~歯の変色の種類とホワイトニングの適応症について~

歯科医師監修

医療ホワイトニングコラム

医療ホワイトニングについて効果や
よくある質問などを全国の歯科医師・
歯科衛生士がわかりやすく解説します。

医療ホワイトニングコラムのイメージ画像 医療ホワイトニングコラムのイメージ画像

はじめに

皆さん、こんにちは。昭和大学歯学部で歯科保存学講座美容歯科学部門に所属する新妻由衣子です。私は昭和大学歯科病院にある美容歯科という診療科にて治療を行っており、審美的な素材を用いた治療や、歯のホワイトニング、それらに関する研究も積極的に行なっています。歯のホワイトニングに関しては、ホワイトニング材の基礎的研究や新しいホワイトニング材の臨床試験、最近ではホワイトニング治療の新たな活用法の提案などにも取組んでいます。

本コラムでは、歯の変色の種類と医療ホワイトニングの適応症を解説しながら、患者さんに聞かれることが多い医療ホワイトニングについての情報を中心にお伝えします。

2医療ホワイトニングのメリット

医療ホワイトニングは、歯科医療機関で歯科医師の診査診断を受け、歯科医師または歯科衛生士が厚生労働省から承認された製品(医療機器)を用いて施術および管理を行う歯のホワイトニングです。医療ホワイトニングでは、診査診断の後にカウンセリングを実施することで、その患者さんの症状に応じた歯のホワイトニング計画を立て、希望された効果が期待できる治療を行います。また、当診療科ではホワイトニング前後の色調を写真で記録するだけでなく、専用の測定器を用いて色の数値化を行い科学的に効果の確認をすることができます。稀に発生する知覚過敏や歯ぐきの痛みといった副作用にも対応が可能で、様々な観点から安心かつ安全なホワイトニングが提供できるよう体制を整えています。

3歯の変色の原因と歯を白くする方法

(1)歯の表層からの変色

コーヒーやお茶、赤ワイン、タバコなど飲食物からの着色汚れが原因で、歯の表層が変色することがあります。このような着色はステイン除去効果のある歯磨き粉を使用することで改善できる場合もあります。しかし、歯と歯の間に入り込んだ着色汚れなどは日常のブラッシングでは除去できないことも多く、そのような着色汚れは歯科医院で専用機器を用いてクリーニングすることで除去します。そのため着色汚れが気になる方は、まずは歯科医院でクリーニングを受けることをおすすめしています。

この様に歯の表面についた着色汚れを除去するだけで満足される方もいらっしゃいます。しかし、歯の色は様々な要因で変化し個人差もあります。歯の色に悩みをお持ちの方や、歯の色を根本的に白くしたいという場合は、歯を内部まで白くすることのできる医療ホワイトニングを提案しています。

(2)その他の要因による変色

a.加齢による変色

歯の色は、表層にある半透明のエナメル質と内側にある淡黄色の象牙質に対する光の拡散や透過などの影響により見え方が変わります。年齢を重ねると、エナメル質の結晶構造が変化し、またエナメル質自体もすり減るため、光の拡散や透過に変化が生じて歯が黄ばんだり、変色して見えるようになります。また、お茶などの飲食物やお口の清掃不良による色素沈着なども加齢による歯の黄ばみや変色の原因となります。これらの加齢による歯の黄ばみや変色は医療ホワイトニングで改善することができます。また医療ホワイトニングは、永久歯が生えそろい歯の根っこが完全に完成する前は行うことができませんが、反対に適応年齢の上限はありません。いくつになっても医療ホワイトニングをするのに遅いということはないのです。

ただ、加齢により歯の性質が変化する影響で、若い世代よりもホワイトニング効果が出るまでの時間がかかる場合があります。しかし、最終的には若い人と同様にホワイトニング効果が認められると報告されており、実際に私どもの美容歯科ホワイトニング外来にも65歳以上の患者さんが多く来院し、継続的にホワイトニング治療を行なっています。

b.根の治療をした歯の変色

歯の根の中には歯髄(しずい)と呼ばれる軟組織があり、患者さん向けには「歯の神経」と説明されることがあります。この歯髄の治療をした歯の変色を改善する方法の1つに、ウォーキングブリーチがあります。これは、歯の中に薬剤を入れて白くする方法です。歯の状態によってはできない場合もあり、その場合は被せもの(セラミックのクラウンなど)による治療が適応となります。

c.遺伝性疾患による変色

エナメル質や象牙質の形成不全など遺伝性疾患による歯の変色は、医療ホワイトニングによる色調の改善が難しい場合が多いのですが、診査診断の結果によっては医療ホワイトニングを実施する場合もあります。

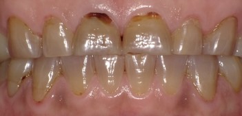
d.テトラサイクリン変色歯

テトラサイクリン変色歯 テトラサイクリン変色歯
テトラサイクリン変色歯

歯がつくられる時期(0~8歳)にテトラサイクリン系抗菌薬を服用すると、テトラサイクリン分子が歯の成分であるカルシウムと結合し象牙質に沈着することで歯の色が黄褐色や青みがかった灰色の縞模様のようになることがあります。そのような歯はテトラサイクリン変色歯と呼ばれています。テトラサイクリン変色歯の医療ホワイトニングは、変色の程度に関わらず難しくなります。

美容歯科ホワイトニング外来には大学病院という特色からか「他の医療機関でホワイトニングはできないと説明を受けたが、やはりできないのでしょうか?」というお悩みを持つテトラサイクリン変色歯の患者さんも来院されます。その様な場合でも、診査診断の後カウンセリングを行い、どの程度まで改善したいかご相談させていただきます。患者さんの希望によっては医療ホワイトニングではなくセラミック治療(ラミネートベニアやセラミッククラウンといった治療法)を提案することもあります。効果が出にくいこと、効果が出るまでに時間がかかること、完全に縞模様を消して真っ白にすることは恐らくできないことなどをじっくりお伝えし、患者さんが納得されたら医療ホワイトニングに一緒に取り組んでみることになります。実際に真っ白にはならなくても、医療ホワイトニング前と比べると色調が改善し「普通の歯の色になってとても嬉しい」「ホワイトニングできたことが嬉しい」「がんばって続けて本当によかった」と結果に満足される患者さんも少なくありません。

e.部分的に白濁(ホワイトスポット)がある歯

ホワイトスポット ホワイトスポット
ホワイトスポット

初期のむし歯やエナメル質形成不全症、フッ素症という症状などの影響で、歯の表面に部分的に生じる白濁(はくだく)をホワイトスポットと呼びます。エナメル質の結晶構造や水分含有量が部分的に変化し周囲と比べて白く見えるようになるのが、その原因です。また、こちらに色素が入り込んでしまい茶色く見える場合もあります。ホワイトスポットが見られる歯を審美的に回復させる治療法はいくつかありますが、軽度であれば医療ホワイトニングを選択し白濁を目立たなくすることができます。逆に医療ホワイトニングの過程でホワイトスポットがホワイトニング前よりも目立つようになる場合もありますが、医療ホワイトニングを続けることで色調が周囲と馴染んでいく事が多いです。

医療ホワイトニングで改善できないホワイトスポットには、専用の薬剤を用いる方法や歯を削って詰める治療、セラミックを被せる治療などが適応になります。

4医療ホワイトニングの効果

患者さんからよく聞かれる質問に「ホワイトニングをどれくらい行うと、どの程度白くなりますか?」がございます。ホワイトニングの効果は個人差が大きく、ホワイトニング前に、どの方法で何回ホワイトニングをすればこれくらいの白さになりますよと正確にお話することはとても難しいです。しかし、診査を行うことで、効果が出やすいか、出にくいかをお話することは可能です。特に3.(2)の項目でお話した「その他の要因による変色」タイプのホワイトニングは比較的難易度の高いケースになります。また、歯の色の系統によっても効果が出るのに時間がかかる事があります。具体的には、黄色や赤茶色系統の歯に比べ、灰色系統の歯は白くなるのに時間がかかるとされています。

  • 黄色系統の色調
    黄色系統の色調
  • 灰色系統の色調
    灰色系統の色調

歯の色の系統だけではなく、歯の表面性状やエナメル質の厚み、歯の部位なども医療ホワイトニンの効果に影響を与える項目となっており、これらの診査をホワイトニング前に行ってカウンセリングをしています。事前に説明しご理解いただく事ができると、効果が出にくいタイプの歯をお持ちの患者さんも焦らずに続けてくださり、最終的に満足していただけることが多いです。

一般的に医療ホワイトニングが難しいとされているケースであっても、決して医療ホワイトニングができない、効果が出ないわけではないので、今回ご紹介したようなケースでお悩みの方も、ぜひ歯科医院に相談してみてください。きっと今より綺麗な歯になる方法を提案してもらうことができると思います。

5私のホワイトニングライフ

最後に私自身の歯のホワイトニング歴についてお話します。私がはじめて医療ホワイトニングを行ったのは約10年前になります。まずなりたい白さを設定し、到達するまでデュアルホワイトニング※1を続けました。それから今日まで継続してタッチアップ※2を行なっています。タッチアップは日常的にホームホワイトニング※3を行い、加えて1年毎にオフィスホワイトニング※4を行っています。色調の後戻りが少しでも気になったらホームホワイトニングを行って、大事な予定の直前にオフィスホワイトニングを行っています。10年間継続して行っているとタッチアップも少ない回数で希望の色調に戻すことができ、今では日常の中に医療ホワイトニングが定着しています。

皆さんも、ご自身のライフスタイルにホワイトニングを合わせて、その時々に取り組みやすい方法で無理なく継続することが、白く美しい歯を保ち続ける秘訣ではないかと思います。

※1/※3/※4 デュアルホワイトニング/オフィスホワイトニング/ホームホワイトニングに関してはこちらのコラムをご覧下さい。

※2 タッチアップに関してはこちらのコラムをご覧下さい。

6まとめ

「若々しくいたい」「もっと清潔感が欲しい」「もっと綺麗に(カッコよく)なりたい」これらは年齢や性別に関わらず、多くの皆さんがお持ちになる願望ではないでしょうか。

現代の日本では、こうした願いや決意をサポートし、叶えてくれる医療が数多くあります。その中でも医療ホワイトニングは、とても気軽に始められ“今より素敵な自分になれる医療”だと思います。白く美しい歯は自信や、内面の美しさを引き出す手助けもしてくれると私は信じています。より多くの皆さんの日常にホワイトニングが定着することを願い、医療ホワイトニングと適用症についてお伝えしました。ご家族や友人で、歯の色にお悩みの方がいらっしゃいましたら、本コラムをご紹介いただければ幸いです。

  • 新妻 由衣子 先生

    昭和大学 歯学部 歯科保存学講座
    保存修復学部門

    新妻 由衣子先生

  • 資格・所属学会

    日本歯科審美学会

    日本歯科保存学会

    日本臨床歯科学会

    日本歯科審美学会認定医

    日本歯科保存学会認定医

    略歴

    2012年

    日本大学 歯学部 卒業

    2018年

    昭和大学 歯学研究科 歯科保存学系 美容歯科学修了 学位取得

         

    昭和大学 歯学部 歯科保存学講座 美容歯科学部門 助教

    2020年

    昭和大学 歯学部 歯科保存学講座 美容歯科学部門 講師

    2024年

    昭和大学 歯学部 歯科保存学講座 保存修復学部門 講師