Cementation of veneers: the pros and cons of light-cure and dual-cure resin cements

When it comes to the final step in veneer placement—cementation—the choice of resin cement can significantly influence the aesthetic outcome and long-term success of the restoration. Two primary types of resin cements are commonly used: light-cure and dual-cure. Each has its own advantages and limitations, and understanding these can help clinicians make informed decisions based on the clinical scenario.

Pros and cons of Light-Cure Resin Cements

Light-cure resin cements require exposure to a curing light to initiate polymerization, meaning the process only begins once light is applied. This provides extended working time, allowing for precise placement. G-CEM Veneer is an example of such a cement.

With try-in pastes available in identical shades to the final cured cement, clinicians can accurately preview the aesthetic outcome before final cementation. This makes light-cure cements ideal for thin, translucent restorations, where the cement shade significantly influences the final appearance and sufficient light transmission ensures complete polymerization through the restoration.

However, there is a limitation. Light-cure composites have a restricted depth of cure, and the curing light is attenuated when passing through the restoration. As a result, they are not suitable for all types of veneers. It is essential to ensure that sufficient light transmission occurs through the restoration to achieve complete polymerization. This makes the technique more sensitive compared to using a dual-cure cement, which is less dependent on light exposure.

Pros and cons of Dual-Cure Resin Cements

Dual-cure resin cements combine both light-activated and self-curing (chemical) mechanisms, ensuring complete polymerization even in areas with limited light access. This dual mechanism makes polymerization highly reliable. Achieving a high degree of conversion is essential for optimal mechanical properties and long-term resistance to discoloration. Dual-cure cements are also more versatile, suitable for a wide range of restorations—not just veneers. G-CEM ONE is an example of such a cement. With its optional Adhesive Enhancing Primer and ability to bond to various substrates, it stands out as a truly universal solution.

However, dual-cure cements come with a trade-off. Polymerization begins immediately upon mixing, which limits working time and reduces the window for adjusting the restoration’s seating.
There is also a common concern among clinicians regarding colour stability. Traditional dual-cure cements often rely on tertiary amines for self-curing, which can lead to yellowing over time. G-CEM ONE, however, is amine-free and has demonstrated excellent colour stability.1

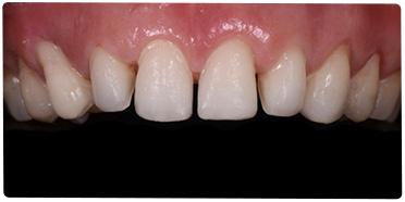
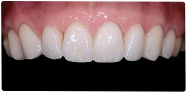
Pic 1
Pic 2
Pic 3

Figure: Initial LiSi Press veneers, cemented with G-CEM ONE using the Adhesive Enhancing Primer. Courtesy of Prof. Roberto Sorrentino, Italy.

Reference

Miletic V, Pour Ronagh A. Staining Analysis of Resin Cements and Their Effects on Colour and Translucency Changes in Lithium Disilicate Veneers. Polymers (Basel). 2025 Jan 29;17(3):362.

                                                                                                    More info on indirect restorations