The easiest ways to remove composite excess

In restorative dentistry, the margin is where precision matters most. Whether you’re injecting direct composite restorations or seating indirect restorations, managing excess material is crucial for both aesthetic excellence and periodontal health. Attention is given to the optimal methods for removing excess in two distinct restorative contexts: molded composite applications and cement removal following indirect restoration placement.

Composite Excess in Injection-Moulded Restorations

Injection moulding with G-ænial Universal Injectable into an EXACLEAR matrix is a popular technique for full-arch or anterior aesthetic cases. It is important to recognize that composite flashes or marginal overhangs can develop during this process, necessitating precise finishing protocols.

Before curing, accurate seating of the transparent mould is critical to ensure a precise final result. The mould should be properly trimmed and well-adapted to the dentition to guarantee a stable and intimate fit. Pay particular attention to the gingival margins—ensure the mould is tightly sealed in this area to prevent composite overflow and minimize flash formation.

To avoid unintended bonding to adjacent teeth, always isolate them using Teflon tape. This step is essential when injecting composite, as it prevents the material from adhering to neighbouring surfaces and facilitates easier finishing and separation after curing.

The transparency of the EXACLEAR mould serves two critical purposes: it facilitates effective light-curing and allows continuous visual monitoring during the injection process. This visibility helps ensure that the composite is properly distributed throughout the mould.

Inject with care to fully adapt the material to all margins without leaving voids or underfilled areas. At the same time, avoid over-injecting, as this can lead to excess material and complicate finishing.

During injection, retract the needle slowly and steadily while keeping it submerged within the composite. This technique helps maintain a continuous flow and prevents the introduction of voids or air pockets.

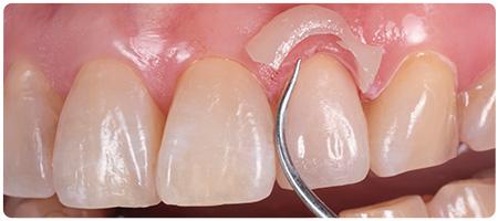
After tack-curing by wavering the curing light over the tooth for 5-10 seconds, remove the mould and carefully remove any composite excess using a scalpel. A No. 12 blade is particularly well-suited for this task, allowing precise and gentle shaving of excess material at the cervical and approximal margins.

 

To refine interproximal areas, use EPITEX finishing strips. These are highly effective for smoothing contact points and eliminating any overhangs between teeth.

Courtesy of M. Fostiropoulou, Greece
Courtesy of M. Fostiropoulou, Greece

 

Thereafter, fully light-cure the composite restorations from each side. If necessary, fine carbide finishing burs can also be used for contouring without damaging the enamel; work from the tooth towards the restoration to avoid ditching and preserve the natural contours.

Complete the procedure with a multi-step polishing system. This final step restores surface lustre and helps reduce plaque retention by creating a smooth, highly polished finish. A goat hair wheel with DIAPOLISHER paste can be used for a true mirror-like finish.

Cement Excess from Dual-Cure Composite Cement

When seating crowns or veneers with dual-cure resin cements, timing is everything. Improper cleanup can lead to gingival irritation, marginal staining, or even periodontal breakdown.

Courtesy of Dr M. Saad El Hachemi, Algeria
Courtesy of Dr M. Saad El Hachemi, Algeria

 

Prior to curing, remove as much excess material as possible. Use a microbrush to gently sweep around the restoration margins, removing any remaining unset cement. Floss interproximally to clear excess material between the teeth, as these regions are more challenging to access and clean thoroughly.

Make use of the tack-cure technique. G-CEM ONE is designed for a one-second tack cure. This short exposure minimises the risk of prematurely hardening the cement, which could otherwise make cleanup difficult. Wave the curing light over the margin rather than holding it in one spot. It simplifies the cleanup process a lot. After a short tack-cure, the cement reaches a semi-gel state, making it easy to peel or wipe away the excess without smearing or leaving residue.

Courtesy of Dr K. Otani, Japan
Courtesy of Dr K. Otani, Japan

 

For the final curing, a glycerin gel can be applied over margins to prevent the formation of an oxygen inhibition layer.  It also facilitates the polishing.

 

Tip:

Use magnification, such as loupes, to enhance visualization of fine excess material and to prevent over-trimming during finishing.

Final Thoughts

Whether you're working with direct composites or indirect restorations, meticulous removal of excess material is essential for long-term success. It enhances the restoration’s longevity, improves patient comfort, and ensures optimal gingival health.

                                                                                               More info on indirect restorations