Skip to main content

間接法

ジーシースプリントレジンLC (光重合型スプリントレジン)を用いた顎関節症の症例

 

1-1
alt
ブラキシズムと左側顎関節痛を有する患者に、スタビリゼーション・スプリントを作製する。通法に従い、作業模型を作製し、咬合器に装着する。
1-2
alt
サベヤーラインを引き、その1~1.5mm下に外形線を引く。スプリントレジンLCは、硬化後適度な弾力性があるので、アンダーカットをやや多めに付与してもよい。
1-3
alt
スプリントレジンLCを製品袋のまま、50~60℃のお湯に5分程浸漬させる。程よい硬さとなり圧接操作がしやすくなる。
1-4
alt
模型の歯列に圧接する。シートタイプなので圧接しやすく、手指や器具にべとつかず操作が容易である。
1-5
alt
模型上の外形線に従い、余剰部分をナイフでトリミングする。その後もう一度辺縁部を軽く圧接しておく。
1-6
alt
エアーバリヤー材を塗布し、ジーシープチライトPL-Iなどの光重合器で重合を完成させる。
1-7
alt
作業模型と完成したスタビリゼーション・スプリント。
1-8
alt
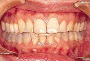
完成したスタビリゼーション・スプリントを口腔内に試適し、充分な咬合調整を行う。
1-9
alt
スプリントレジンLCを用いたスプリントは、適度な弾性があり、適合性、装着感が良く、重合研磨後透明感があり審美性も良い。