症例3
|
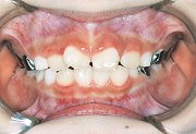
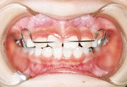
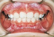
症例3 床矯正と咀嚼訓練を併用した翼状捻転を伴う、叢生の症例の経過 主訴:前歯が曲がっているのを治したい。 初診時の年齢 8才1ヵ月 性別 女性
オクルーザーの咀嚼機能の経時的結果
咬合面積は19.7mm2、咬合力は132N(約13kgw)で、これらの値は粥川の示す正常値を大きく下回っている。チューブとガムによる咀嚼訓練を治療開始と同時に指示した。7ヵ月の訓練の結果、咬合面積は59.6mm2、咬合力は324N(約32kgw)と共に増加して、良好な結果を得られた。 初診時の咬合バランスの左右差は21.2%であったが、咀嚼訓練の結果、左右差は2.4%に改善された。臨床結果で、このような正常な咬合を維持すれば、後戻りの可能性は減少する。 |
|||||||||||||||||||||||||||||||||||||||||||||||||||||||||||||||













