Skip to main content

症例4 歯列矯正

12才、女性。歯並びを治したい。

alt
alt
alt
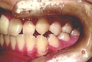
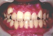
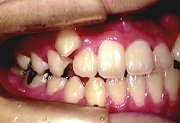
図8,9,10 口腔内写真

 


●咬合力バランス
Rタイプ
alt
Wタイプ
alt
重心、咬合力ともに左側に偏位し、右側犬歯から第一大臼歯まで咬合は認められない。

 
●バランスデータ(Rタイプのみ)
alt
左右の比は84.5%と15.5%でかなり左側に偏位しているのがわかる。
●3次元表示(Wタイプのみ)
alt
開口した状態をななめからみて、咬合力の強さを各点からの棒グラフで示している。また、必要なところは拡大して視ることができる。模型とあわせてプレゼンテーションに使用する。

この患者さんは2週間前ほどから治療が始まった。経過は随時データベースに残していきたい。