Skip to main content

呼吸に関する機能・口呼吸に注意

呼吸に関する機能と口呼吸の歯並びや口元の形への影響

これまでの説明のとおり、歯並びや顎の形態は成長発育期の口の内外の筋肉のバランスによって大きく影響を受けます。安静にしている時は、口を結んで鼻で息を吸ったり吐いたりをすることが本来の呼吸の仕方です。その時、上下の歯の間は数ミリの隙間があり、舌は上あごに緩やかに密着しています。口を結んでいる場合に唇と頬の筋肉は歯並びの外側から緩やかに力を加えています。成長期において、1本1本の歯は口の内側と外側の筋肉のバランスのとれた位置に生えてくるようになっています。成長発育期において、理想的な歯並びは安静にしている時の舌の形(きれいなU字型)に沿って作られます。

それでは、絶えず口をポカンと開けて息をしている口呼吸の場合ではどうなるでしょうか?

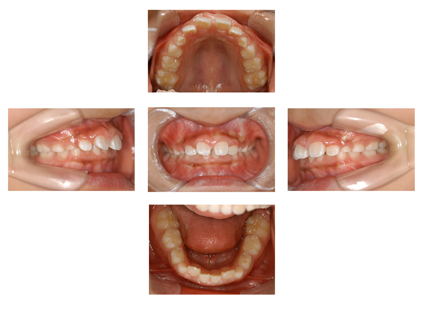
口を開けて息をしていると舌は上あごに接しておらず、側方から頬の筋肉の力が上あごに加わります。また、口をポカンと開いているため前方から唇の力が歯に加わりません。従って歯の生え代わりの時期に口呼吸を続けていると上あごの前歯は外側に傾斜して狭い歯並び(V字型)となってしまい、噛み合わせの異常を招くことになります(図10 V字状歯列弓)。

 

f26

 

このように噛み合わせの異常を招く口呼吸は原因別に3つに分けられます。

(1)歯性口呼吸
 歯並びや噛み合わせの異常により、口が閉じにくいために口呼吸となってしまう場合。
この場合には、歯並びの治療(矯正治療)を先行して行い、それと並行して口を閉じる訓練を行います。(図10、11 上顎前突)

 

f27

 

f25

 

(2) 鼻性口呼吸
 鼻炎や扁桃肥大などの病気があって鼻呼吸が困難な場合。
 この場合には、鼻呼吸が可能となるように耳鼻科での診察と治療が優先します。(図12 鼻腔通気度検査)

f29

 

(3) 習慣性口呼吸
 歯並びの異常がないか軽度であり、鼻呼吸が可能であるにもかかわらず、習慣的に口を開けて息をする場合。
 この場合には、歯科において口を閉じて鼻呼吸を行うための訓練(口唇閉鎖訓練)を行います。月に1度歯科で訓練法の指導を受けて、自宅での訓練を毎日実施します。熱心に取り組んだ場合、半年ほどで効果が現れてくることがほとんどです。(図13、14 肥厚性歯肉炎、図15 口唇閉鎖訓練)

 

f30

 

 

f31

 

f32

 

 

著者
木本 茂成 先生
神奈川歯科大学歯学部 小児歯科学講座 教授