G-BOND™

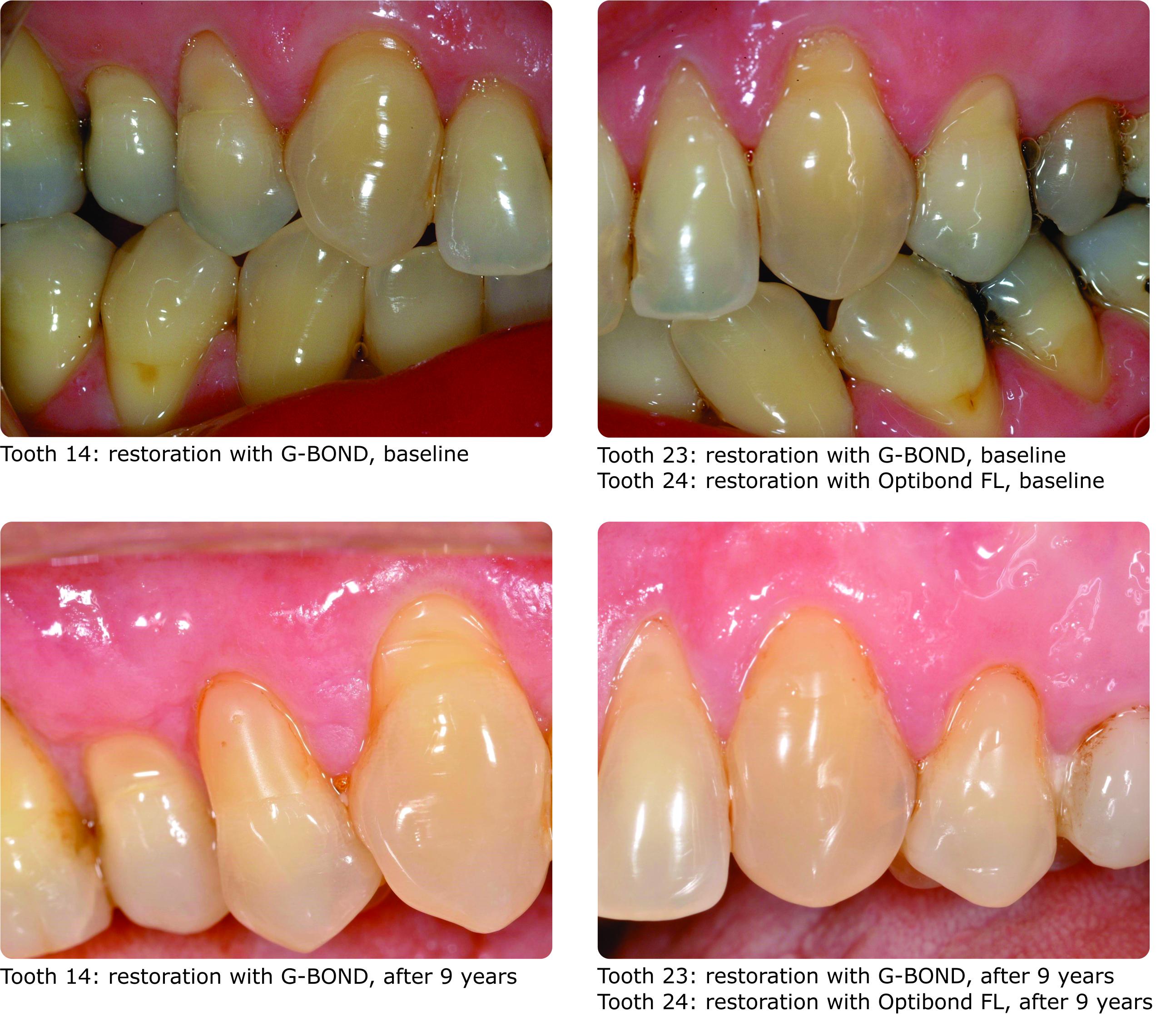
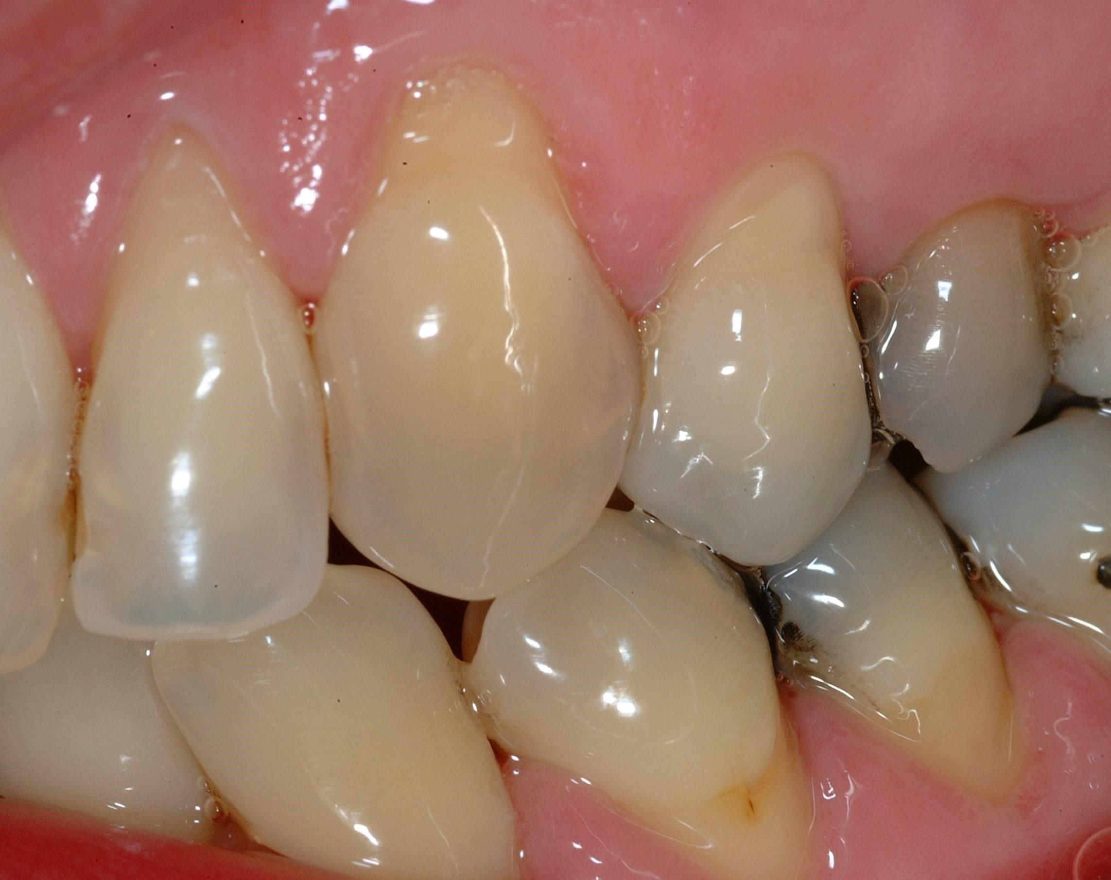
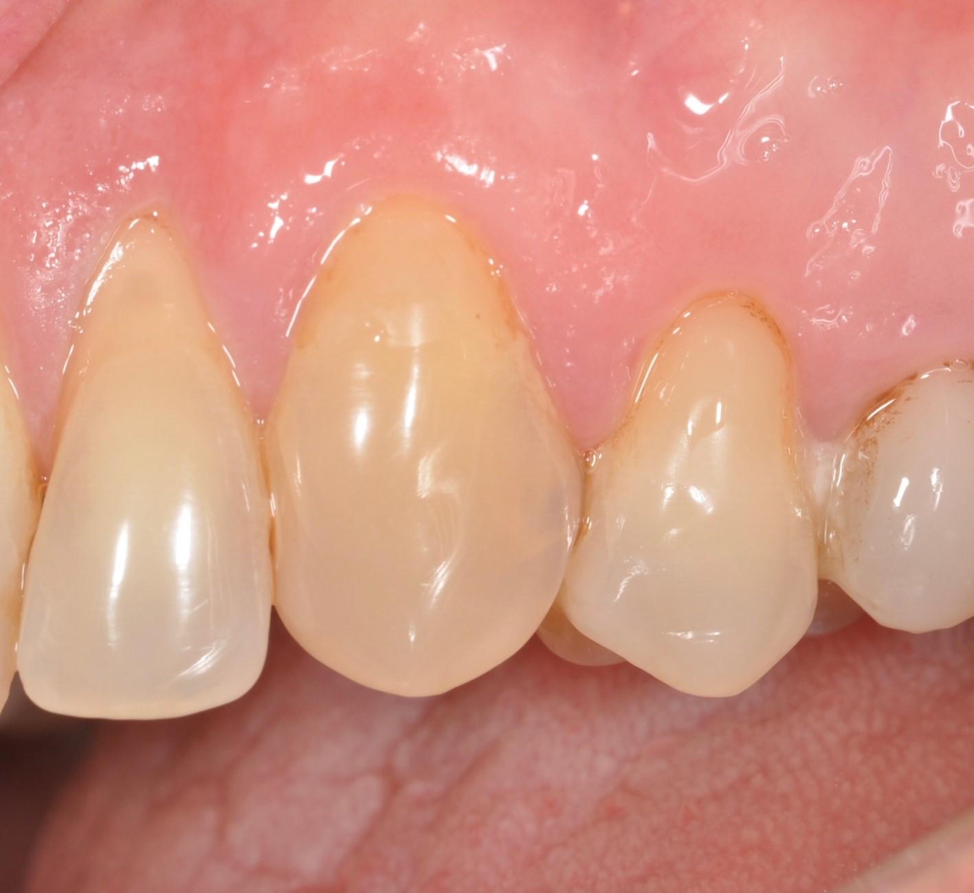
Randomised clinical trials are the ultimate proof of the performance of dental materials. However, it takes a lot of time and effort to collect these data. When longer periods are considered, clinical data are scarce. A recently published study from the University of Leuven demonstrated that G-BOND (GC) and Optibond FL (Kerr) performed equally successful after 9 years of clinical function. This result shows that the simplified adhesive approach with G-BOND is reliable on the long term.

G-BOND proven to be equally successful as gold standard three-step adhesive in the long term