Flux de lucru cu soluții pentru restaurare directă anterioară

Vă doriți pur și simplu un zâmbet frumos?



Obțineți o estetică extraordinară cu soluțiile noastre pentru restaurare anterioară directă  

1

Realizați adeziunea

cu G-Premio BOND

G-Premio BOND

 

Aplicare curată

300 picături/flacon

Aplicare și indicații universale

2

Modelați

cu G-ænial A’CHORD

Chipped tooth

 

 

 

 

Adaptare superbă a nuanțelor

Manipulare simplă cu pensula sau cu un instrument

3

Lustruiți rapid

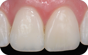
Final result - G-aenial A'CHORD

 

 

Simplu de realizat cu DiaPolisher Paste

Retenție ridicată a luciului

Imagini: prin amabilitatea Dr. A. Mak, Australia

G-Premio BOND

G-Premio BOND

Adeziv universal fotopolimerizabil cu o singură componentă

G-aenial A'CHORD

G-ænial A’CHORD

Compozit de restaurare universal fotopolimerizabil

Dia Polisher

DiaPolisher Paste

Pastă diamantată pentru lustruirea compozitului și porțelanului

Faceți clic aici pentru a vedea promoțiile relevante

Descoperiți soluții eficiente de restaurare anterioară directă în colecția noastră de articole & video de la experți din toată Europa

 

Informații detaliate

Videoclipuri

Articole

Doriți mai multe informații (promoții, demo, ...)?

Lasă-ne datele tale!