Skip to main content

直接法

ジーシースプリントレジンLC (光重合型スプリントレジン)を用いた顎関節症の症例

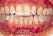
2-1
alt
左側顎関節痛と開口障害を有する患者に、直接口腔内でスタビリゼーション・スプリントを作製する。
2-2
alt
常温重合レジンでジグを作製し、スプリントで付与したい上下顎の位置関係と咬合拳上量を決める。
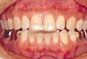
2-3
alt
始めに、臼歯部にスプリントレジンLCを圧接し、ジグで誘導させながら咬合させ、対合歯列を印記させる。
2-4
alt
撤去時の変形を防ぐため、ガンタイプの可視光線照射器で予備重合を行う。
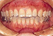
2-5
alt
ジグをはずし、前歯部にスプリントレジンLCを圧接し同様に予備重合を行う。
2-6
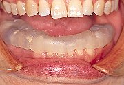
alt
エアーバリヤー材を塗布後、光重合器で重合を完成させ、口腔内に装着する。弾性性質があるため、咬合圧の緩衝効果もある。