|
1
|
2
|
3
|
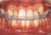
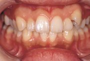
| 22才女性。右顎関節雑音を主訴に来院した。5年前に右顎関節部の開口痛と開口制限が出現した。噛みしめると右顎関節にクリックがあって、顎位がずれる感じと疼痛を訴えた。上下顎とも前歯部に叢生が、臼歯部には多数歯にインレー修復が認められた。開口障害はなかった。 |
|
| 3の低位唇側転位と、正中線の右側への変位が認められた。触診で右顎関節後側、左右顎二腹筋後腹、左右胸鎖乳突筋停止部などに圧痛が認められた。 |
|
| 4
|
5
|
|
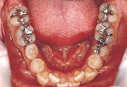
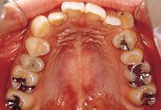
| 咬頭嵌合位では両側臼歯部に咬合接触が認められた。右側方運動は43 43に、左側方運動は22に咬合接触が存在した。側方運動、前方運動時に咬頭干渉はなかった。両側頬粘膜に歯列の圧痕が認められ、問診からもブラキシズムが疑われた。 |
|
|
|
6
|
7
|
8
|
| 顎関節エックス線写真では両側の下顎頭、下顎窩に皮質骨の肥厚像が認められた。図に示すMR画像では、右顎関節(6)には関節円板の非復位性前外側転位(部分的には復位)と下顎頭の平坦化が、左顎関節(7)には関節円板の復位性前外側転位と下顎頭に軽度の変形が認められる。 |
|
| ナソヘキサグラフJM-1000等で切歯点と下顎頭部の運動を同時測定し、下顎頭の運動経路から顎関節部の病態を分析する。 |
|
9
 |
| 習慣的開閉口運動経路を示す。切歯点の運動経路には開口と閉口の末期にクリックに伴う屈曲が見られた。右下顎頭には咬頭嵌合位(IP)直前で矢頭で示す経路の屈曲が認められた。 |
|
10
 |
| デンタルプレスケール/オクルーザーを用いた咬合診査では、咬頭嵌合位での最大噛みしめ時の咬合力は468N、咬合面積は11.6mm2であり、正常者と差異はなかった。また、左右の咬合力バランスは比較的良好であった。 |
|
11
 |
| スプリントの製作。スプリントレジンLCを作業模型に圧接成形する。引き続き、辺縁のトリミングと咬合面形態を付与する。 |
|
12
 |
| その後、レジン表面にエアーバリヤー材を塗布し、可視光線照射器ジーシープチライトPL-Iで光照射し重合を完了させる。 |
|
13
 |
| 光重合レジンなので重合収縮は極めて少なく、咬合調整量はわずかである。模型からの取り外しも容易で、スプリント製作は短時間で済む。 |
|
14
 |
| スプリントは薄い白色で、比較的透明感もあり審美性は良好であった。また、わずかに弾力性があり歯列への適合も非常に良く、歯への圧迫感もなく装着感は良好であった。 |
|
15
 |
| 咬合位では対合する下顎のすべての臼歯頬側咬頭が均等な強さで咬合接触し、側方および前方運動では犬歯と前歯がガイドして臼歯を離開させた。スプリント治療によって右顎関節の開口痛が消失しクリックもなく、現在、歯科矯正治療中である。 |
|