1
 |
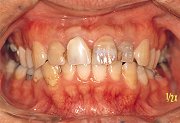
| 32才男性会社員。左側頸部から肩の凝り、背中の痛みを主訴に咬合との関連性を疑い来院。7年ほど前から肩凝りが強くなり、頸、腰の痛みがあった。 |
|
2
 |
| 両側犬歯、小臼歯に明らかな咬耗が認められ、問診からもブラキシズムの習癖が確認された。上顎左側犬歯尖頭は咬耗し平坦化していた。 |
|
3
 |
| 下顎安静位から閉口した時の咬合状態。この位置で噛みしめると、左側に若干滑走し咬頭嵌合位となる。「噛みしめると左側では力が入らない」と訴えた。 |
|
4
 |
| デンタルプレスケール/オクルーザーを用いた咬合診査では、咬頭嵌合位(上図)に比べ、3の咬合位(下図)では左側臼歯部ならびに右側の大臼歯部に咬合接触がなかった。 |
|
5
 |
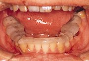
| スプリントレジンLC製のスタビライゼーションスプリントを下顎歯列に装着した。 |
|
6
 |
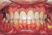
| 下顎の正中線は2の咬合位と同様に上顎と一致した。装着1ヵ月後には開閉口時に顎のガクガク感はなくなった。3ヵ月後には強い肩凝り、背痛も消失した。 |
|
7
 |
| 治療中にスプリントが破折したが、常温重合レジン、ジーシーユニファストIIで破折部分を直接法により修理した。スプリントレジンLCとよく接合するので、スプリント咬合面への追加調整も容易である。 |
|
8
 |
| スプリント治療後の咬合診査から、臼歯部の咬合低下による下顎の左側変位と診断した。上顎臼歯部にレジンアンレーを合着して経過観察した後、歯冠修復治療を行った。 |
|