1
 |
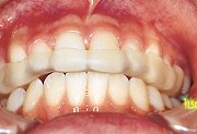
開口障害を主訴とした11歳の女子中学生。無痛的最大開口量は25mmであった。遠隔地からの来院であり、初診日に に装着するスプリントを直接法により製作した。 |
|
2
 |
| まず、装着する上顎歯列をよく乾燥する。唾液で濡れていると、操作中にスプリントレジンLCが歯列から外れやすく、成形しにくい。 |
|
3
 |
| スプリントレジンLCを歯列に圧接し外形を整えた後軽く咬合させ、対合する歯列咬合面の圧痕を印記する。 |
|
4
 |
| ハンドインスツルメントを用いて咬合接触点をできるだけ平坦に仕上げる。また、咬合接触の不足部分にはスプリントレジンLCの小片を圧接追加し、咬合させる。 |
|
5
 |
| ガンタイプの可視光線照射器で口腔内のレジンを予備的に重合した後、注意深く歯列から取り外す。エアーバリヤー材を塗布した後、ジーシープチライトPL-Iで重合を完了させる。 |
|
6
 |
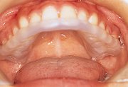
完成したスプリント。下顎安静位からの閉口位で を咬合接触させた。偏心運動は でガイドさせた。 |
|
7
 |
| スプリント装着2週間後に咀嚼筋の疼痛が軽減し、開口量が増加した。この時点で、歯列全体を印象採得した。 |
|
8
 |
| 作業模型に装着していた直接法による前歯部スプリントを戻し、左右臼歯部にスプリントレジンLCを追加して、スタビライゼーションスプリントに移行した。 |
|
9
 |
| 直接法で製作したスプリントと追加部分との接着にはユニファストIIを用いると、接合部がきれいに仕上がる。 |
|
10
 |
| スタビライゼーション型に移行したスプリントを口腔内に装着した。 |
|