Skip to main content

人工歯歯根の延長

 

5-1
alt
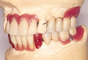
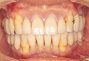
初診時。
5-2
alt
治療進行中。
5-3
alt
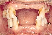
技工進行中。
5-4
alt
5-5
alt
5-6
alt
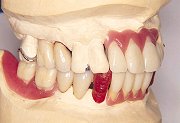
リペアーボンドIIを用いて歯根延長した下顎前歯人工歯。
歯肉形成完成。上顎は既製人工歯そのままである。
5-7
alt
5-8
alt
5-9
alt
リペアーボンドIIを用いて歯冠、歯根を延長した臼歯人工歯。
6の欠損部に形態、大きさ共に調和する人工歯がなかったために改変したことがきっかけとなり、どうせならと思い7 6の大臼歯も5 4の外冠歯頸ラインに調和させるために改変した。ちょっとやりすぎだったかもしれない。
5-10
alt
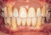
義歯完成。
5-11
alt
5-12
alt
5-13
alt
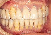
前右側方面観。
5-14
alt
前方面観。
5-15
alt
前左側方面観。
5-16
alt
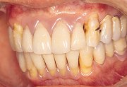
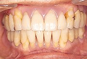
術後4ヵ月経過。