Multi FA

Class II & III appliance

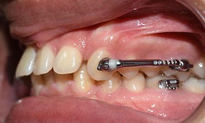
Multi fonctional Appliance for CL II and CL III Correction

System for distalization of posterior teeth for class II and III treatment. 

One appliance for 90% cases

 

 

Benefits

  • One appliance for 90 % of distalization cases
  • No previous measurements necessary
  • Storage of many different sizes is not necessary
  • Anatomically shaped anterior and posterior ball joints with three-dimensional hinge for an optimal fit and derotation of the molars 
  • Optional Design available that can be used with molar tubes

 

Available sizes

  • Regular (18-28 mm) Installation between canine and first molar
  • Short (12-17 mm) Installation between the first premolar and first molar
  • Long (23-36 mm) Installation between canine and second molar

 

Installation of the appliance

  1. Clean the corresponding teeth, condition with phsophoric acid as usual and dry.

     
  2. Apply GC Ortho Connect to the posterior ball joint and position it centrally on the first molar using molar forceps. The arm should point anteriorly parallel to the dental arch. Remove excess adhesive and light-cure. 
    • If the first molar is palatally/lingually inclined, it is recommended to position the posterior ball head on the second molar
    • Ensure that the posterior arm is parallel to the arch. This makes it easier to attach the second arm section.

       
  3. Apply adhesive to the anterior ball joint and slide the arm onto the bonded posterior arm. The anterior ball joint should be positioned centrally on the canine and then light-cure the adhesive. If the canine has already been orthograde inclined or distally rotated, it is recommended to block the anterior joint with composite after insertion of the appliance to prevent unwanted rotation.

Hinged ball joints - the benefits

Both the anterior and posterior ball joint are equipped with a hinge;

  • it is easier to insert the appliance
  • the rotation is controlled by the possibillity of positioning the head joint more to mesial or distal.
  • the side effects of class II and III elastics are limited or prevented.

The ball joint movement can be blocked at any time by adding GC Ortho Connect™ Flow.

Closing/opening of gaps:

The Multi FA appliance with an unblocked telescopic arm enables the closing of gaps with the help of elastics, attached to the hooks at both ends of the appliance.

 

Gaps can be opened with the Multi FA appliance by inserting an open spring .010 into the telescopic tube

Telescopic arm locking - 2 techniques:

  1. Inject GC Ortho Connect Flow into the two holes of the  telescopic tube and onto the inner telescopic arm at the transition to the telescopic tube.
  2. Attach a crimp stop exactly in front of the transition between the inner arm and telescopic tube. In addition, GC Ortho Connect™ Flow can be used distal to the stop as a supplementary securing device.

Class II correction with thermoformed splint (upper jaw)

  • Molar derotation
  • Distalization of the molars and the entire support zone
  • Decoupling of the occlusion (use of a thermoformed splint or a lingual arch on the lower jaw)
  • Advancement of the mandible through anterior repositioning and neuromuscular programming

 

Class III correction with thermoformed splint (upper jaw):

Class III correction is primarily based on tooth movement:

  • Distalization of the molars and/or the posterior maxillary region
  • Decoupling of the occlusion using a splint (photo 5)

________________________________

This class IIa medical device is a regulated medical device that owns the EC marking in this regard. Only for healthcare professionals. Respect the instruction for use and information the label before using.